歯科ハミール高田88
歯科ハミール高田88の症例集
Case

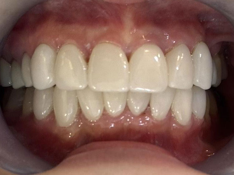
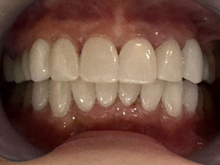
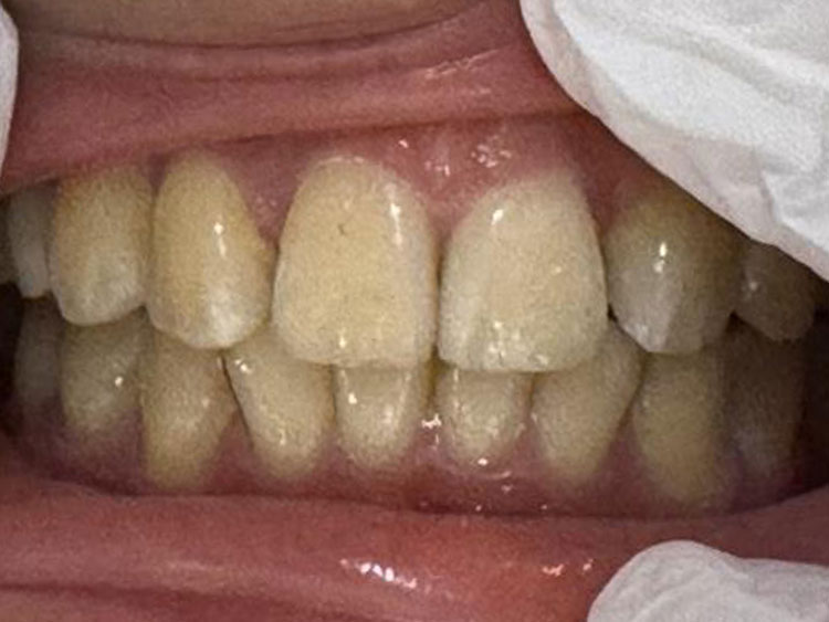
「歯の色や形を綺麗にしたいけれど、健康な歯は絶対に削りたくない」というご希望で来院。ご自身の歯を削らずに、短期間で理想の白さと美しい歯並びを実現できる「エンジェルベニア」を選択されました。

CASE 15

エンジェルベニア

BEFORE

BEFORE

▶
AFTER

AFTER

BEFORE

BEFORE

▶
AFTER

AFTER

BEFORE

BEFORE

▶
AFTER

AFTER

治療内容

歯の表面を削ることなく、極薄のセラミックシェルを専用の接着剤で直接貼り付ける「エンジェルベニア」を実施。
歯を削らないため麻酔が不要で、痛みもほとんどありません。自然で透き通るような白さをプラスし、お顔全体の印象がパッと明るくなるような美しい口元を実現しました。

治療期間・回数

期間:約2週間〜1ヶ月
通院回数:2回〜3回(型取り→セット)

費用

1本 132,000円(税込)× 16本
総額 2,112,000円(税込)

リスク・副作用

歯の上に直接セラミックを貼り付けるため、元の歯よりもわずかに厚みが出ます(慣れるまでは違和感がある場合があります)。
極めて薄い素材を使用するため、非常に強い力がかかると割れたり剥がれたりする可能性があります。噛み合わせの状態によっては適応できない場合があります。