歯科ハミール高田88
歯科ハミール高田88の症例集
Case

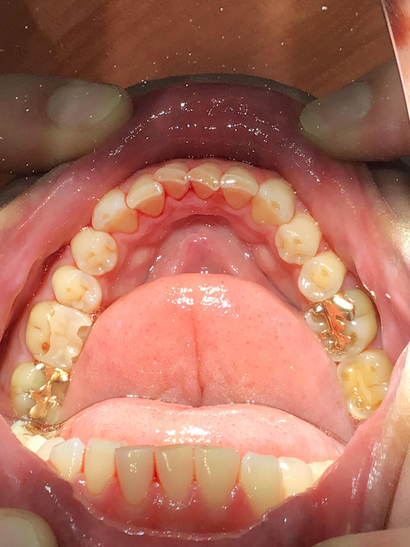
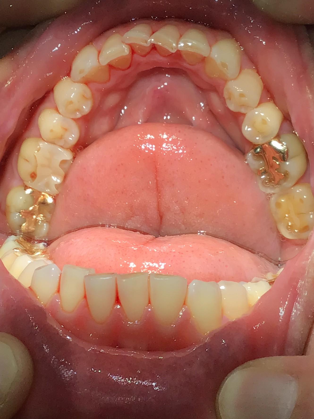
30代男性。「タバコのヤニやコーヒーなどの着色汚れ(ステイン)が気になる」「歯の裏側までしっかり綺麗にしたい」というご希望で来院。毎日の歯磨きや、通常のクリーニングでは落としきれない頑固な汚れにお悩みでした。

CASE 13

エアフロー

BEFORE

BEFORE

▶
AFTER

AFTER

BEFORE

BEFORE

▶
AFTER

AFTER

治療内容

微細な専用パウダーと水、空気をスプレー状に吹き付ける「エアフロー」による歯面清掃を実施。
金属の器具でゴリゴリと削り落とすのではなく、パウダーの力で優しく汚れを吹き飛ばすため、歯や歯茎を傷つけません。
歯の裏側や隙間にこびりついた着色汚れだけでなく、虫歯や歯周病の原因となるバイオフィルム(細菌の膜)も綺麗に除去し、本来の自然な白さとツルツルの歯面を取り戻しました。

治療期間・回数

期間:1日
通院回数:1回(約30分〜60分程度)
※定期的なメンテナンスとして、数ヶ月に1回の受診をおすすめしています。

費用

1回 3,300円〜11,000円 程度

リスク・副作用

パウダーを強く吹き付けるため、知覚過敏の方や歯肉に炎症がある方は、一時的にチクチクとした刺激やしみる感覚が生じる場合があります。
また、施術直後は歯の表面を保護する膜(ペリクル)が取れて着色しやすい状態になるため、術後2〜3時間は色の濃いご飲食(コーヒー、紅茶、カレー、赤ワインなど)や喫煙を控えていただく必要があります。