歯周病とは?放置すると歯が抜ける?原因・進行・対策を徹底解説
「最近、歯ぐきから血が出るけど大丈夫かな…」
そんな小さなサインを見逃していませんか?
歯周病は、日本人の成人の約8割がかかっているともいわれる身近な病気です。しかし、初期にはほとんど自覚症状がなく、気づいたときにはすでに進行しているケースも少なくありません。
放置すると、歯ぐきの腫れや出血、口臭、さらには歯のグラつきや脱落といった深刻なトラブルへと発展してしまうこともあります。
この記事では、歯周病の原因や進行メカニズム、放置によるリスクについてわかりやすく解説します。歯を守るために、今できるケアを一緒に見直してみましょう。
歯周病とは?放置するとどうなるのか

歯周病とは、歯を支えている骨や歯ぐきに起こる病気です。
お口の中の代表的な病気には「虫歯」と「歯周病」の2つがあります。
どちらもよく知られた病気ですが、原因や症状、進行の仕方はまったく異なります。
虫歯と歯周病のちがい
虫歯は、歯の表面が溶けて穴があく病気です。
症状が進むとしみたり、痛みが出るようになります。比較的、短期間で進行しやすいのが特徴です。
一方で、歯周病は、虫歯がなくてもかかることのある病気です。
しかも、初期の段階では痛みなどの自覚症状がほとんどないため、気づかないうちに進行してしまうことも少なくありません。
歯周病を放っておくと…
歯周病が進行すると、以下のような症状が現れることがあります。
- 歯ぐきの腫れや出血
- 歯がグラグラする
- 口臭が強くなる
- 食べ物が噛みにくくなる
そして、そのまま放置してしまうと、最終的には歯を失ってしまう可能性もあります。
関連記事:親知らずの歯周病リスクが高い理由
歯周病の原因と進行メカニズム

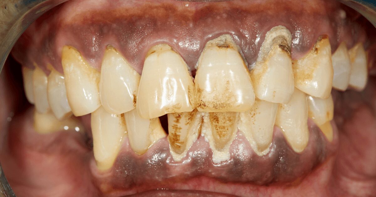
歯周病は、歯に残った「プラーク(歯垢)」が主な原因で起こります。
プラークとは、歯の表面に付着する細菌のかたまりのことで、白っぽい色をしていて目では見えにくいですが、舌で触るとザラザラした感触があります。
プラークはネバネバして歯に強く付着するため、通常の歯みがきだけでは取りきれないこともあります。
しっかり磨けていないまま放置してしまうと、プラークは2〜3日で石のように固まり、「歯石」へと変化します。
歯石は、歯と歯ぐきの境目などにできる硬いかたまりで、歯ブラシでは落とすことができません。
そのため、歯科医院で専用の器具を使って除去する必要があります。
プラークや歯石がたまり続けると、歯と歯ぐきの間の「歯周ポケット」と呼ばれるすき間が深くなり、汚れがさらにたまりやすくなります。
これにより歯ぐきの炎症が進み、歯周病も悪化していきます。
歯周病の進行段階について

歯周病は、大きく4つの段階に分けられます。
初期段階であれば、歯科での治療と毎日のケアで進行を止めることができますが、重度になると長期的な治療や外科的な処置が必要になることもあります。
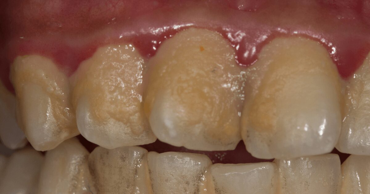
① 歯肉炎
歯周病のもっとも初期の状態です。
歯ぐきに炎症が起こり、歯を磨いたときに出血したり、赤く腫れたりすることがあります。
この段階では、まだ歯を支える骨には影響がありません。
② 軽度歯周病
歯ぐきの炎症が進み、歯を支える骨が少しずつ溶け始めます。
歯と歯ぐきの間にすき間(歯周ポケット)ができ、汚れがたまりやすくなります。
この頃から、冷たいものがしみる・歯ぐきが腫れる・口臭が気になるなどの症状が出ることもあります。
③ 中度歯周病
歯を支える骨がさらに失われ、約半分ほど溶けてしまっている状態です。
歯が少しグラついたり、浮いたような違和感を感じるようになります。
また、歯ぐきが腫れて痛みが出たり、膿が出たり、口臭が強くなることもあります。
④ 重度歯周病
歯を支える骨がほとんどなくなり、歯が大きく揺れるようになります。
このまま放置すると、最終的には自然に歯が抜けてしまう可能性もあります。
また、歯周ポケットが深くなり、膿がたまって強い痛みを感じることもあります。
まとめ
歯周病は、歯を支える骨や歯ぐきに炎症が起こる病気で、放置すると歯を失うリスクがあります。
初期には痛みなどの自覚症状が少なく、気づかないうちに進行しやすいのが特徴です。原因は歯に残ったプラーク(歯垢)で、やがて歯石となり歯ぐきの炎症を悪化させます。
歯周病は進行に応じて「歯肉炎→軽度→中度→重度」と分類され、重度では歯が大きく揺れ、抜け落ちることも。予防や早期発見には、毎日の丁寧な歯みがきと定期的な歯科受診が重要です。
<東京都新宿区 歯医者>歯科ハミール高田88院 詳細情報
お問い合わせ
歯科ハミール高田88(高田馬場 歯科 新宿区 歯医者 東京都 歯科医院)
住所: 東京都新宿区高田馬場1−27−6 KIビル4F 高田馬場駅から徒歩1分 BIGBOX前
電話: 03-6709-6866
当院、医療法人歯科ハミールの分院も、今後共よろしくお願いいたします。
この記事を監修した医師
赤崎 公星(あかさき こうせい)
歯科ハミール 理事長・歯科医師|愛知学院大学歯学部卒|厚生労働省認定臨床研修指導医
