column
コラム
- 高田馬場歯医者 | 歯科ハミール高田88 TOP
- コラム一覧
- 智齿拔除后的护理方法及注意事项
智齿拔除后的护理方法及注意事项
对于考虑拔除智齿的患者来说,手术后的护理可能是一个令人担忧的问题。智齿的拔除通常伴随着疼痛和不适,因此,术后的护理至关重要。通过正确的护理,不仅可以加快恢复速度,还能将并发症的风险降到最低。
位于东京都新宿区高田马场的「齿科ハミール高田88」,由赤崎公星院长领衔,基于丰富的智齿拔除经验,为每位患者量身定制最合适的护理方案。在这篇文章中,我们将详细介绍智齿拔除后的具体护理方法和需要注意的关键点。
この記事の監修者
こんにちは。
歯科ハミール高田88 院長の茂木 将(もてぎ まさし)です。
当院は"ホスピタリティ"を大切に、患者様とのコミュニケーションを何より重視しています。
痛みへの配慮はもちろんのこと、治療にかかる費用や期間を事前にわかりやすくご説明し、納得いただいたうえで最適な治療計画をご提案します。
これまで、総合病院の口腔外科や大学病院のインプラント科で研修を積み、現在も勉強会やセミナーに積極的に参加しながら、最新の技術や知見を治療に反映しています。
特に、神経や歯をできる限り残す治療を軸に、患者様のお口の健康を長く守ることを目指しています。
私は高田馬場の出身です。
この馴染み深い地域で、皆様にとって「通いやすく、安心できる歯科医院」であり続けられるよう努めてまいります。
◆経歴
・ 2020年3月東京歯科大学 卒業
・ 2020年4月東京都立広尾病院 歯科口腔外科・有病者歯科 研修
・ 2022年3月東京都立広尾病院 歯科口腔外科・有病者歯科 研修修了
・ 2022年4月東京都立広尾病院 歯科口腔外科・有病者歯科 非常勤
・ 2022年4月東京歯科大学口腔インプラント学講座 臨床専修科生
・ 2024年4月東京歯科大学口腔インプラント学講座 レジデント
・ 2025年4月東京歯科大学口腔インプラント学講座非常勤歯科医師
・ 2025年4月ハミール高田88院長
現在に至る
◆所属団体
・ 有病者歯科医療学会
・ 日本口腔インプラント学会
・ 顎顔面インプラント学会
・ ITIメンバー(世界中のインプラントの専門家を結ぶグループ)
・ 厚労省後援:Sauna Spa Professional
・ 茂木将 - Wikipedia
目次
智齿拔除后的护理方法

智齿拔除后,需要特别关注以下几项护理。
- 控制出血
- 服用抗生素和止痛药
- 正确的刷牙和使用牙线
- 温和漱口
- 冷敷肿胀部位
接下来,我们将逐一详细说明这些护理步骤。
控制出血
在智齿拔除手术后,为了控制出血,通常需要立即用纱布压迫15到30分钟。少量的渗血是正常现象,但如果出血无法停止,应立即联系牙医或口腔卫生员进行咨询。
服用抗生素和止痛药
为了防止术后感染和管理疼痛,必须严格按照处方服用抗生素和止痛药。特别是抗生素需要连续服用三天,以有效降低感染风险。
正确的刷牙和使用牙线
在拔除智齿的部位避免刷牙,其他区域的牙齿仍需进行轻柔的刷牙和使用牙线,以保持口腔清洁,从而降低感染的风险。
温和漱口
术后的第一天应避免剧烈漱口,从第二天开始可以轻柔地漱口,以防止血块脱落,促进恢复。建议使用Neosteguine或ConCool等漱口水,有助于保护手术部位。
冷敷肿胀部位
使用冷毛巾或冰袋冷敷肿胀部位,可以有效缓解疼痛和肿胀,帮助加速恢复。
智齿拔除后可能出现的并发症

智齿拔除后,可能会出现以下几种并发症。
- 感染
- 干槽症
- 神经麻痹
- 颌骨骨折
我们将详细解释这些并发症及其预防措施。
感染
智齿拔除后,伤口部位容易受到细菌感染。保持口腔清洁,并按时服用处方抗生素是预防感染的重要措施。
干槽症
干槽症是由于血块脱落,导致骨头暴露而引发的剧烈疼痛。为预防这种情况,术后应避免剧烈漱口和吸烟。
神经麻痹
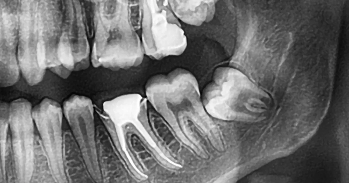
在下颌部拔除智齿时,如果牙齿位置接近神经,可能会引发麻痹。齿科哈米尔高田88使用CT扫描精确定位神经,尽量减少这种风险。
颌骨骨折
颌骨骨折是较为罕见的并发症,但在复杂的智齿拔除手术中,尤其是薄弱的颌骨部分,仍需特别注意。
智齿拔除后的注意事项

手术后,必须遵守以下注意事项以确保顺利恢复。
- 保持安静休息
- 避免吸烟和饮酒
我们将详细解释这些注意事项。
保持安静休息
智齿拔除后,最重要的是让身体得到充分的休息。避免剧烈运动或长时间站立工作,应尽可能放松身心。
避免吸烟和饮酒
吸烟和饮酒会减缓伤口愈合,并增加感染风险,因此术后应避免这些行为。
智齿拔除后的复诊与护理

术后定期复诊非常重要,以确保恢复过程顺利。若出现紧急情况,也可及时处理。
拔线
如果拔牙后进行了缝合,通常在一周到十天后需要进行拔线。复诊时,牙医会确认伤口的愈合情况并进行相应处理。
清洁
复诊时,牙医还会对口腔进行清洁,防止感染并促进伤口愈合。
智齿拔除后推荐的食物

术后应选择柔软、富含营养且刺激性小的食物。以下几种食物是不错的选择。
- 鸡蛋盖饭
- 炖菜
- 乌冬面
- 酸奶
- 香蕉
让我们来具体看看这些食物的优点。
鸡蛋盖饭
鸡蛋盖饭是由软嫩的鸡肉和鸡蛋制成的营养餐,易于消化且富含蛋白质,是术后恢复的理想选择。
炖菜
炖菜中的蔬菜和肉类都经过充分炖煮,口感柔软且营养丰富,特别适合术后食用。
乌冬面
乌冬面质地柔软,易于吞咽,不会对口腔造成负担,温暖的汤汁还有助于舒缓术后的不适。
酸奶
酸奶不仅口感温和,不刺激伤口,还含有乳酸菌,能帮助增强免疫力和改善肠道健康。
香蕉
香蕉质地柔软,易于消化,并富含能量和营养,尤其适合作为术后的健康零食。
结论
智齿拔除后,遵循正确的护理步骤和注意事项能够显著促进恢复。赤崎公星院长带领的「齿科ハミール高田88」,凭借丰富的经验和先进的设备,为患者提供全面的术后护理支持。如果您对智齿拔除有任何疑虑,欢迎随时联系我们。
联系方式
- 齿科ハミール高田88(高田马场 齿科,高田马场 牙医,高田马场 齿科医院)
- 地址: 东京都新宿区高田马场1-27-6 KI大楼4F(高田马场站步行1分钟,BIGBOX对面)
- 电话: 03-6709-6866
診療案内consultation time
10:00~19:00(平日)/~18:00(土日)
休診日 – 祝日/年末年始

RESERVATION ご予約/問い合わせ
高田馬場、西早稲田、下落合、新宿区、新大久保、大久保、目白、戸山公園、池袋、新宿、東新宿、豊島区、学習院下エリアで歯医者をお探しなら「歯科ハミール高田88」にお越しください。
