智齿拔除住院费用解析
“想知道智齿拔除的住院费用是多少?”
“智齿拔除需要住院几天呢?”
“能一次拔除四颗智齿吗?”
对于这些问题,本文将为您提供详细的解答。通常情况下,智齿拔除是在门诊进行,但在某些情况下,比如复杂的智齿拔除或患者的全身健康状况较为特殊时,歯科医生可能会建议住院治疗。
在这篇文章中,我们将详细解释智齿拔除住院相关的费用,以及需要住院的具体情况,帮助您安心接受治疗。
この記事の監修者
こんにちは。
歯科ハミール高田88 院長の茂木 将(もてぎ まさし)です。
当院は"ホスピタリティ"を大切に、患者様とのコミュニケーションを何より重視しています。
痛みへの配慮はもちろんのこと、治療にかかる費用や期間を事前にわかりやすくご説明し、納得いただいたうえで最適な治療計画をご提案します。
これまで、総合病院の口腔外科や大学病院のインプラント科で研修を積み、現在も勉強会やセミナーに積極的に参加しながら、最新の技術や知見を治療に反映しています。
特に、神経や歯をできる限り残す治療を軸に、患者様のお口の健康を長く守ることを目指しています。
私は高田馬場の出身です。
この馴染み深い地域で、皆様にとって「通いやすく、安心できる歯科医院」であり続けられるよう努めてまいります。
◆経歴
・ 2020年3月東京歯科大学 卒業
・ 2020年4月東京都立広尾病院 歯科口腔外科・有病者歯科 研修
・ 2022年3月東京都立広尾病院 歯科口腔外科・有病者歯科 研修修了
・ 2022年4月東京都立広尾病院 歯科口腔外科・有病者歯科 非常勤
・ 2022年4月東京歯科大学口腔インプラント学講座 臨床専修科生
・ 2024年4月東京歯科大学口腔インプラント学講座 レジデント
・ 2025年4月東京歯科大学口腔インプラント学講座非常勤歯科医師
・ 2025年4月ハミール高田88院長
現在に至る
◆所属団体
・ 有病者歯科医療学会
・ 日本口腔インプラント学会
・ 顎顔面インプラント学会
・ ITIメンバー(世界中のインプラントの専門家を結ぶグループ)
・ 厚労省後援:Sauna Spa Professional
・ 茂木将 - Wikipedia
智齿拔除住院的费用
如果智齿拔除需要住院,费用通常可以通过健康保险覆盖,实际费用将根据住院时长和治疗内容有所不同。一般情况下,住院费用每晚约为1万日元至数万日元不等。
此外,住院环境和房间类型不同也会导致费用的差异,因此建议提前向医院确认具体的住院费用。
智齿拔除住院之外的其他费用

除了智齿拔除的手术和住院费用外,患者可能还需支付一些额外费用。
药物费用
在手术后,歯科医生可能会开具止痛药或抗生素,这些药物的费用是需要另行支付的。通常情况下,这些药物费用也可以通过健康保险报销,但具体费用会因药物种类和剂量而有所不同。
例如,在東京都歯科ハミール高田88,如果使用了防止骨凹陷的材料如“テルプラグ”,费用约为1万日元。
介绍信的费用
如果智齿拔除需要在专科医院进行,可能需要提供介绍信,而这些介绍信的费用一般在数千日元左右。
术后护理费用
智齿拔除后的术后护理也可能需要额外费用,如复诊费用、清洁或消毒治疗。这些费用大多可以通过保险覆盖,建议在治疗前确认好具体的费用安排。
智齿拔除住院时长
通常情况下,智齿拔除的住院时间为1至2晚。如果患者一次性拔除多颗智齿或需要全身麻醉,通常会建议住院1至2晚。住院时长也会根据个体情况和治疗复杂度有所不同,因此建议与主治医生详细讨论。
哪些情况下智齿拔除需要住院?

并非所有智齿拔除都需要住院,以下情况可能会建议患者住院进行手术:
- 症状复杂的患者
- 一次性拔除多颗智齿的患者
- 有全身性疾病的患者
- 有心理问题或焦虑的患者
症状复杂的患者
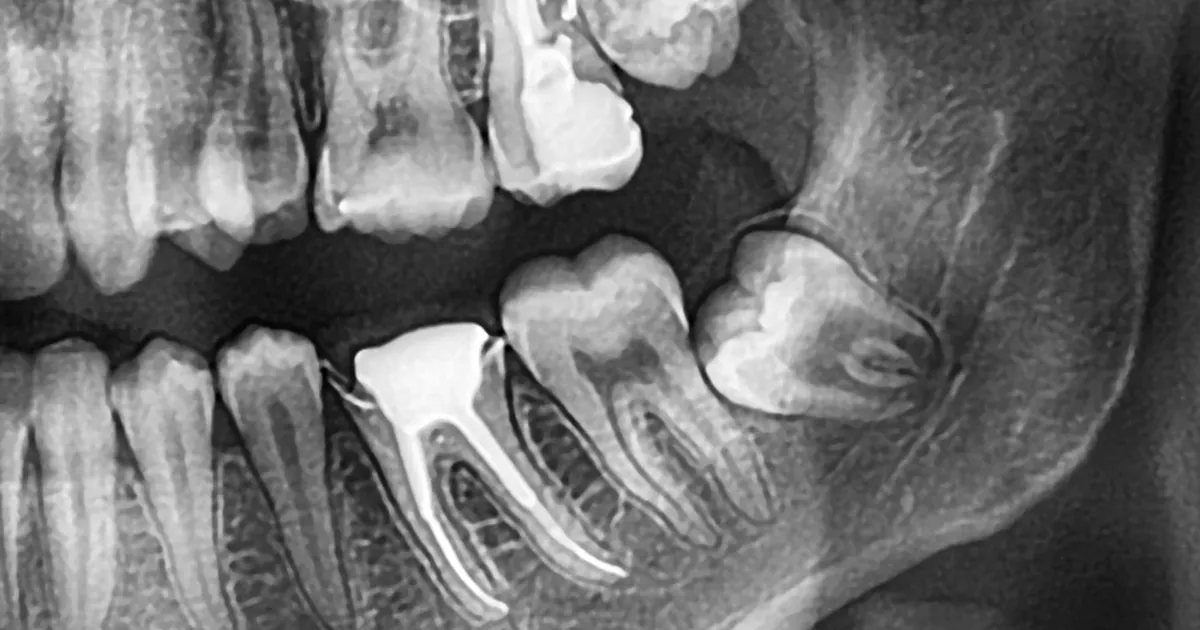
当智齿严重埋伏,或者对邻近的牙齿和骨骼产生影响时,医生可能会建议住院拔除。
一次性拔除多颗智齿的患者
对于需要一次性拔除多颗智齿的患者,住院治疗更为安全,全身麻醉下手术可以缩短整体治疗时间。
有全身性疾病的患者
患有糖尿病、心脏病或其他全身性疾病的患者,拔除智齿时需要特别谨慎,住院进行手术可以降低风险。
有心理问题的患者
对手术极度恐惧或有精神压力的患者,歯科医生可能会建议在住院环境下进行拔除,确保手术的顺利进行。
一次拔除四颗智齿的手术方式

如果患者需要一次性拔除四颗智齿,通常使用全身麻醉或静脉麻醉。这样可以保证手术过程中没有疼痛感,同时帮助患者更快恢复。
静脉麻醉
静脉麻醉可以让患者在保持意识的情况下,处于放松状态进行手术。通常情况下,静脉麻醉可以在门诊手术中完成,无需住院。
全身麻醉
全身麻醉下,患者会完全失去意识,适用于需要一次性拔除四颗智齿或手术较为复杂的情况。全身麻醉手术通常需要住院。
「智齿 拔除 住院费用」常见问题

智齿拔除时,上下牙哪个疼痛感更强?
通常情况下,下颌智齿的拔除难度较大,因此术后疼痛感较为明显。由于下颌骨较硬,手术时间较长,术后肿胀和疼痛可能会更强烈。
智齿拔除后需要注意什么?
智齿拔除后,患者应避免吸烟、饮酒、剧烈运动和桑拿,并保持安静的生活方式。此外,一定要按时服药,若肿胀和疼痛加剧,应及时咨询医生。
拔除智齿后可以申请医疗保险补偿吗?
如果患者因智齿拔除住院,并符合保险的特定条件,部分医疗保险公司会提供补偿。建议患者提前咨询自己的保险公司了解详细信息。
总结【智齿拔除住院费用大约每晚1万日元至数万日元】
对于需要住院的智齿拔除手术,很多患者会对费用和流程感到不安。在新宿区歯科ハミール高田88,我们会根据患者的需求制定个性化治疗计划,并提供详细的费用说明。如果您有智齿拔除相关的任何疑问,请随时联系我们。
歯科ハミール高田88位于高田马场站附近,交通便利。步行1分钟即可到达JR山手线、东京地铁东西线和西武新宿线的高田马场站,通勤和就诊都十分方便。
联系我们
歯科ハミール高田88(高田马场 牙科、新宿区 牙医、东京都 齿科诊所)
地址:东京都新宿区高田马场1-27-6 KI大楼4楼(高田马场站步行1分钟,BIGBOX前)
电话:03-6709-6866
官方网站:https://hamille-takada88.com/cms/
我们也欢迎您咨询与访问我们隶属的医療法人歯科ハミール的其他分院。
官网:https://hamille-dental.com/
本院:https://hamille-dental.com/hamille
ドクターHa:https://hamille-dental.com/doctorha
大手町:https://hamille-dental.com/tokyo
虎ノ門:https://hamille-dental.com/toranomon
小川町:https://hamille-dental.com/ogawamachi