歯科ハミール高田88
歯科ハミール高田88の症例集
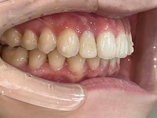
Case

20代。 「前歯がデコボコしているのが気になる」「笑った時に歯並びが悪く見える」というお悩みでご来院。 仕事やプライベートで目立つワイヤー矯正は避けたいとのことで、透明なマウスピース矯正をご希望されました。

CASE 10

インビザライン

BEFORE

BEFORE

▶
AFTER

AFTER

BEFORE

BEFORE

▶
AFTER

AFTER

治療内容

透明で取り外し可能な矯正装置「インビザライン」を使用した全体矯正を実施。 3Dスキャナー「iTero」による精密なシミュレーションに基づき、少しずつ歯を動かすマウスピースを交換しながら、抜歯をせずに理想的なアーチ(歯列弓)へと整えました。 ※歯を並べるスペースを作るため、歯の側面をごくわずかに研磨する処置(IPR)を行っています。

治療期間・回数

治療期間:約1年〜1.5ヶ月 通院回数:1.5ヶ月〜3ヶ月に1回(経過観察およびマウスピースのお渡し)

費用

総額 880,000円(税込) (内訳:インビザライン・スタンダードパッケージ) ※保定装置(リテーナー)費用は別途かかる場合があります。

リスク・副作用

1日20時間以上の装着時間を守らないと、計画通りに歯が動かず治療期間が延びる可能性があります。 治療開始直後や新しいマウスピース交換時に、歯が締め付けられるような痛みや違和感が出ることがあります。治療後は後戻りを防ぐため、保定装置の使用が必須です。