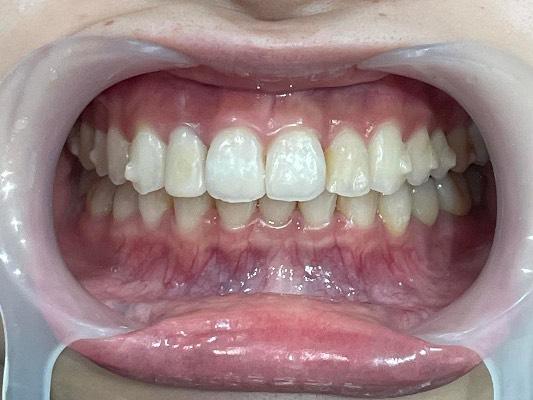
すべて インビザライン インプラント エアフロー エンジェルベニア クラウン(被せ物) ホワイトニング マウスピース治療 審美歯科 根管治療 顎水平埋伏智歯 CASE 10 BEFORE AFTER 20代。 「前歯がデコボコしているのが気になる」「笑った時に歯並びが悪く見える」というお悩みでご来院。 仕事やプライベートで目立つワイヤー矯正は避けたいとのことで、透明なマウスピース矯正をご希望されました。