カテゴリー: マウスピース治療|歯科ハミール高田88

歯科ハミール高田88の症例集

Case
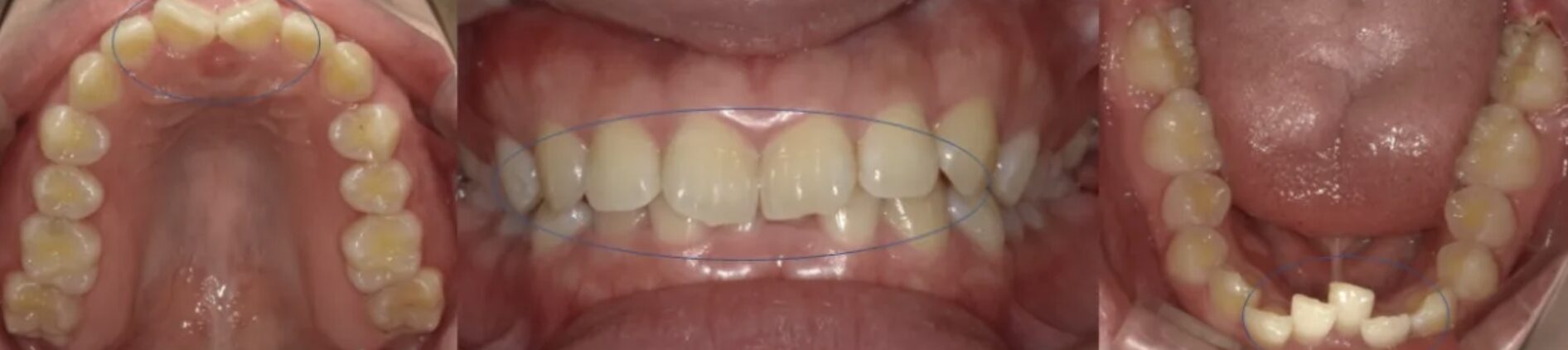
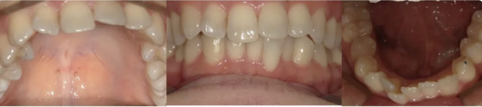
CASE 09
BEFORE

BEFORE

▶
AFTER

AFTER

20代。 「前歯の傾きが気になる」「下の歯のガタつき」を主訴に来院。 検査の結果、上の前歯が下の前歯を深く覆ってしまう「過蓋咬合(Deep Bite)」の状態であり、見た目だけでなく噛み合わせの機能改善も必要でした。

CASE 08
BEFORE

BEFORE

▶
AFTER

AFTER

30代。 「前歯のガタつき(叢生)が目立つ」「歯が重なっていて磨きにくい」などのお悩みでご来院。 目立たない装置で、周りに気づかれずに歯並びを整えたいというご希望でした。