【難抜歯ドクター監修】親知らずは何歳で生えるのか?生える前兆や早めに抜いた方がよい理由も解説
- 「親知らずは何歳で生えるのかな?」
- 「親知らずが生える前兆が知りたい!」
- 「親知らずが生えてきたらすべきことってなんだろう?」
このような悩みを解決できる記事となっています。
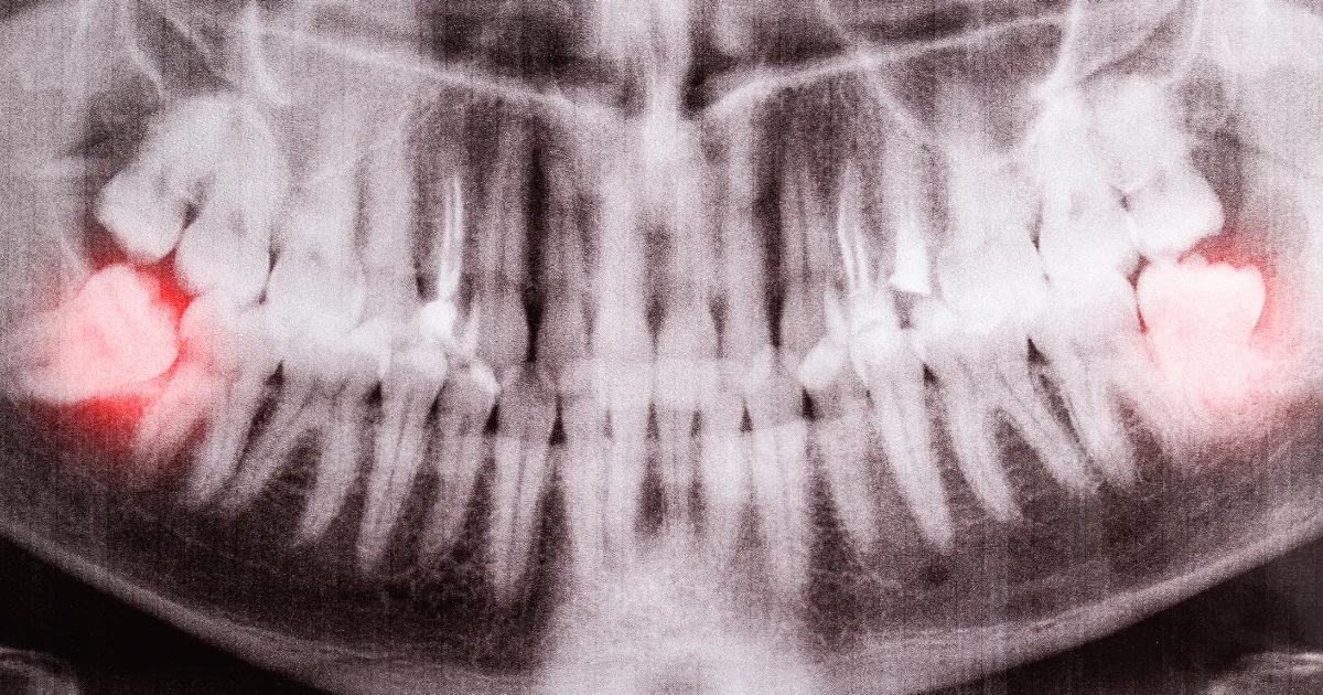
親知らず(第三大臼歯、前から数えて8番目の歯)は、多くの人にとって「突然の痛み」と共にやってくる厄介な存在ですよね。
この歯は大体ですが10代後半から20代にかけて生えてきますし、人によっては一生生えない場合もあります。
本記事で、親知らずが生える年齢や生える前兆、早めに抜いた方がよい理由について詳しく解説します。
JR山手線高田馬場駅から徒歩1分の歯科ハミール高田88では、親知らずの診断から抜歯まで、普通抜歯からスペシャル難抜歯まで豊富な経験を持つ赤崎公星先生が院長のもと、日々抜歯症例を多く取り扱っております
この記事の監修者
こんにちは。
歯科ハミール高田88 院長の茂木 将(もてぎ まさし)です。
当院は"ホスピタリティ"を大切に、患者様とのコミュニケーションを何より重視しています。
痛みへの配慮はもちろんのこと、治療にかかる費用や期間を事前にわかりやすくご説明し、納得いただいたうえで最適な治療計画をご提案します。
これまで、総合病院の口腔外科や大学病院のインプラント科で研修を積み、現在も勉強会やセミナーに積極的に参加しながら、最新の技術や知見を治療に反映しています。
特に、神経や歯をできる限り残す治療を軸に、患者様のお口の健康を長く守ることを目指しています。
私は高田馬場の出身です。
この馴染み深い地域で、皆様にとって「通いやすく、安心できる歯科医院」であり続けられるよう努めてまいります。
◆経歴
・ 2020年3月東京歯科大学 卒業
・ 2020年4月東京都立広尾病院 歯科口腔外科・有病者歯科 研修
・ 2022年3月東京都立広尾病院 歯科口腔外科・有病者歯科 研修修了
・ 2022年4月東京都立広尾病院 歯科口腔外科・有病者歯科 非常勤
・ 2022年4月東京歯科大学口腔インプラント学講座 臨床専修科生
・ 2024年4月東京歯科大学口腔インプラント学講座 レジデント
・ 2025年4月東京歯科大学口腔インプラント学講座非常勤歯科医師
・ 2025年4月ハミール高田88院長
現在に至る
◆所属団体
・ 有病者歯科医療学会
・ 日本口腔インプラント学会
・ 顎顔面インプラント学会
・ ITIメンバー(世界中のインプラントの専門家を結ぶグループ)
・ 厚労省後援:Sauna Spa Professional
・ 茂木将 - Wikipedia
親知らずは何歳で生えるのか?
親知らずは、一般的に10代後半から20代前半にかけて生えることが多いですが、当然人間の体ですから以下のように個人差があります。
- 早い場合: 15歳頃から生え始める
- 一般的な場合: 18歳〜25歳
- 遅い場合: 30代以降、稀に40代で生えることも
生えない人もいる理由
親知らずが生えないのは、進化の過程で顎が小型化し、親知らずが生えるスペースがなくなったためとされています。
これを場合によっては名前を付けて「無歯症」といったりして、現代人の約20〜30%に見られると言われてます。
関連記事:【現役歯科医師が監修】親知らずを抜かない人の割合とは?抜くべきかの判断基準も解説
親知らずは何歳で抜くべきか?

親知らずの抜歯時期は、20代前半が理想的です。この時期は、以下の理由で治療がスムーズに進むからです。
- 骨の柔軟性: 若いほど顎の骨が柔らかく、抜歯が比較的容易となります。
- 合併症のリスク低下: 高齢になると歯の根が深く骨に埋まり、神経との近接リスクが高まります。
- 回復力が高い: 当然若いほど術後の回復が早く、痛みや腫れも軽減される傾向があります。
親知らずが生える前兆
以下のような症状が現れたら、親知らずが生えるサインかもしれません。
- 奥歯周辺の歯茎に違和感や痛みがある
- 歯茎の腫れ
親知らずが歯肉を押し上げる際に炎症を引き起こし、腫れを伴うことがあります。 - 口臭の悪化
炎症によって細菌が増殖し、口臭の原因となりやすいです……
関連記事:親知らずを放置して死亡する確率 【高田馬場|歯科ハミール高田88 赤崎 公星院長 監修】
親知らずが痛む理由
親知らずが痛む原因は以下の通りです。
- 歯茎が炎症を起こす
- 親知らずが歯茎を圧迫する
- 親知らずの影響でかみ合わせが悪くなる
- 親知らずが虫歯になる
順番に解説します。
歯茎が炎症を起こす
親知らずが部分的に生えた状態(半埋伏歯)は、歯茎と歯の間に食べかすや細菌が入り込みやすく、智歯周囲炎を引き起こします。
これにより腫れや痛みが発生します。
親知らずが歯茎を圧迫する
生えるスペースが足りないと、親知らずが隣の歯や骨を圧迫し、痛みや不快感を伴うことがあります。
親知らずの影響でかみ合わせが悪くなる
親知らずが斜めや横向きに生えることで、徐々にではありますが間接的にかみ合わせに影響し、顎や筋肉に負担をかけることがあります。
親知らずが虫歯になる
親知らずは奥に位置するため、何度も言ってますがシンプルに清掃が難しく虫歯になりやすいです。さらに進行すると激しい痛みを伴うわけですね!
親知らずが生えてきたらすべきこと

親知らずが生えてきた場合、以下の対応が必要です。
- 痛む箇所を冷やす
- 口腔内を常に清潔に保つ
- 歯科医院を受診する
順番に解説します。
痛む箇所を冷やす
あくまでも応急処置ですよ!アイスや保冷剤をタオルで包み、患部を10〜15分冷やすと、炎症を軽減できます。
口腔内を常に清潔に保つ
デンタルフロスやうがい薬(コンクールがおすすめ)を活用し、親知らず周辺の細菌繁殖を防ぎます。
歯科医院を受診する
親知らずが原因の痛みや腫れは原因療法なら歯科医師による治療が必要です。
近くの医院に行って早期に診断を受け、適切な処置を行いましょう。
抜歯した方がいい親知らずの特徴
以下の条件に該当する親知らずは、抜歯を検討する必要があります。
- 斜めや横向きに生えている
- 智歯周囲炎を繰り返す
- 隣の歯を押している
- 虫歯や歯周病の原因となっている
親知らずを早めに抜いた方がよい理由

親知らずを早期に抜歯するメリットは次の通りです。
- 骨が固くなるから
- 虫歯・歯周病のリスクが高まるから
- 腫れや痛みが長引きやすい
- 年齢を重ねるにつれ抜歯後の回復が遅くなるから
順番に解説します。
骨が固くなるから
年齢を重ねると顎の骨が硬化し、抜歯の難易度が上がっていきます。歯科ハミール高田88では何歳の方でも抜歯は可能ですけど……
虫歯・歯周病のリスクが高まるから
親知らずが長期間放置されると、周囲の歯にも影響を及ぼします。
腫れや痛みが長引きやすい
高齢になると炎症の回復が遅れるため、腫れや痛みが長引く傾向があります。
親知らず抜歯なら「歯科ハミール高田88」がおすすめな理由

「歯科ハミール高田88」(高田馬場 歯科)での親知らず抜歯をおすすめする理由は、以下の通りです。
- 経験豊富な赤崎公星院長が監修
- 最新設備による正確な診断
- 安心のアフターケア
- アクセスの良さ
- 柔軟な予約対応
順番に解説します。
経験豊富な赤崎公星院長が監修
歯科ハミール高田88の赤崎公星院長は、インビザラインプラチナエリートプロバイダーとしての実績に加え、大学病院レベルの難抜歯の経験も豊富です。
とくに親知らずの抜歯においては、多くの症例を手がけており、迅速かつ正確な抜歯を行うことができます。
患者1人ひとりに合わせた治療計画を立てるため、安心して手術を受けられます。
親知らずの抜歯で不安を感じている方は、一度相談してみることを強くおすすめします。
≫高田馬場の歯医者|歯科ハミール高田88のスタッフ紹介はこちら
最新設備による正確な診断
歯科ハミール高田88では、CT撮影や最新の3Dスキャナー「iTero」を導入しており、抜歯前の詳細な診断を行います。
これにより、歯の位置や形状、周囲の骨構造を正確に把握し、リスクを最小限に抑えた安全で確実な治療が可能です。
CTによる立体画像解析により、神経や血管の位置も明確にし、難易度の高い親知らずの抜歯にも対応しています。
この先端技術により、術後の合併症リスクも大幅に低減できます。
≫高田馬場の歯医者|歯科ハミール高田88の親知らず抜歯の概要についてはこちら
安心のアフターケア
歯科ハミール高田88では、毎日多くの抜歯症例をこなしており、抜歯後のケアにも万全の体制を整えています。
赤崎院長をはじめとする経験豊富なスタッフが、患者様1人ひとりに合わせたケアを丁寧に提供します。
術後の痛みや腫れの管理から、適切な食事のアドバイスまで、あらゆるサポートを受けられます。
安心して術後の経過を見守ることができるよう、必要に応じて迅速な対応が可能です。
アクセスの良さ
歯科ハミール高田88は、JR高田馬場駅から徒歩1分という好立地に位置しており、通院が非常に便利です。
BIGBOXの向かいにあり、通勤・通学の途中でも気軽に立ち寄ることができるため、忙しい方でも無理なく通院を続けられます。
立地の良さは、急なトラブルが発生した際にも素早く対応できる点でも大きなメリットです。
≫高田馬場の歯医者|歯科ハミール高田88のアクセス・診療時間についてはこちら
柔軟な予約対応
歯科ハミール高田88では、患者様のライフスタイルに合わせた柔軟な予約対応を行っています。
電話予約、ウェブ予約、LINE予約、さらにはSNSでの予約にも対応しており、忙しい日常の中でもスムーズに予約が取れる体制が整っています。
また、急な予定変更にも柔軟に対応してくれるため、仕事やプライベートを優先しながら無理なく通院を続けられます。
≫高田馬場の歯医者|歯科ハミール高田88の24時間WEB予約はこちらから
まとめ
親知らずは10代後半から20代前半にかけて生えることが多く、その時期に適切な診断と処置を行うことが重要です。
赤崎公星院長率いる歯科ハミール高田88では、親知らずの診断から抜歯まで、表面麻酔や電動麻酔を使用して痛みを最小限に抑えた治療を提供しています。
抜歯の症例が多いところが経験が多いので一番安心かと思います!!
<東京都新宿区 歯医者>歯科ハミール高田88院 詳細情報
お問い合わせ
歯科ハミール高田88(高田馬場 歯科 新宿区 歯医者 東京都 歯科医院)
住所: 東京都新宿区高田馬場1−27−6 KIビル4F 高田馬場駅から徒歩1分 BIGBOX前
電話: 03-6709-6866
- 特徴: 中国語対応可能、難抜歯のスペシャリスト在籍
当院、医療法人歯科ハミールの分院も、今後共よろしくお願いいたします。
