【ゼロからわかる】親知らずの歯周病リスクが高い理由
歯周病の予防・治療を検討中の方は、歯周病治療をご覧ください。
親知らずは歯周病を引き起こしやすい歯の1つです。
JR山手線高田馬場駅前にある歯科ハミール高田88では、親知らずの抜歯を頻繁に行っており、親知らずが関わる歯周病予防やケアを日常的にサポートしております。
この記事では、親知らずが歯周病になりやすい理由や対処法について詳しく解説します。
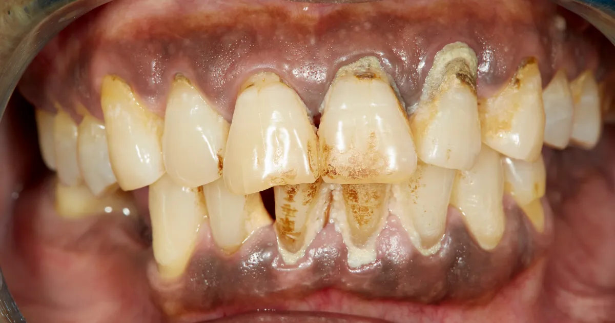
歯周病とは?
歯周病は、歯と歯茎の間に細菌が入り込むことで炎症が起き、歯茎が腫れたり、出血が見られる病気です。
進行すると歯を支える骨が溶けていき、極端な話歯が抜け落ちるリスクが高まります。
親知らずはお口の中の一番奥にありますから特に歯周病にかかりやすいとされています。
親知らずの歯周病リスクが高い理由

親知らずは、前から数えると8番目で位置的に歯磨きが届きにくく、磨き残しが発生しやすいため、歯周病リスクが高くなります。
また、親知らずが歯茎に部分的に埋まっている場合や、横向きに生えている場合、食べかすや歯垢がたまりやすく、細菌の温床となります。
親知らずが歯周病になった時の対処法
親知らずが歯周病にかかった場合、定期的な歯科診察やクリーニング、そして私がよくいっているのはうがい薬を使うことが重要です。
診療にいらしたら必要に応じて、歯科医師や歯科衛生士といった国家資格者が歯周ポケットを清掃し、炎症を抑える処置を行います。
関連記事:【意外と知らない】親知らずを放置する問題|抜歯後の注意点も解説
親知らずによる「歯周病」以外の病気

親知らずが原因となって引き起こされる病気には、以下のようなものがあります。
- 歯冠周囲炎
- 含歯性嚢胞(濾胞性歯嚢胞)
順番に解説します。
智歯周囲炎
智歯周囲炎は、親知らずの周囲に炎症が生じる状態で、特に部分的にしか生えていない親知らずによく見られます。
この病状は、親知らずが正常に生えるスペースがなく、食べ物の残りカスや細菌が歯と歯肉の間に詰まりやすい状況を作り出すことにより引き起こされます。
症状には、激しい痛み、腫れ、時には開口障害や発熱も含まれます。
含歯性嚢胞(濾胞性歯嚢胞)
含歯性嚢胞は、親知らずが完全には生えずに顎の中に埋まっている状態で発生する可能性があります。
この嚢胞は歯の発生に関連する組織から成長し、未萌出歯を含むことからその名が付けられています。
嚢胞が成長するにつれて、周囲の顎骨を圧迫し、最終的には骨の破壊を引き起こすことがあります。
これにより、腫れや痛み、そして重度の場合には顔の変形も引き起こす可能性があります。
関連記事:親知らず抜歯後にドライソケットじゃないのに痛い理由|予防方法も紹介
親知らずを抜歯するメリット

親知らずを抜歯することで、以下のようなメリットがあります。
- 歯磨きが楽になる
- 口臭の緩和・改善
- 口腔内のケアがしやすくなる
順番に解説します。
歯磨きが楽になる
親知らずを抜歯することで、歯ブラシが届きにくい箇所が減少し、歯磨きが格段にしやすくなります。
この結果、歯垢の蓄積が減り、虫歯や歯周病のリスクが低減されます。
特に後方の歯は歯磨きが困難であり、親知らずの存在がこれをさらに難しくしています。
口臭の緩和・改善
親知らず周辺は食べかすが溜まりやすく、不衛生な状態が続くと悪臭の原因となり得ます。
抜歯によってこの問題が解消され、口臭が大幅に改善します。
さらに、歯周病の進行を防ぐことで、長期的な口臭対策にもつながります。
口腔内のケアがしやすくなる
親知らずの存在は、歯列を不規則にし、適切なクリーニングを困難にすることがあります。
抜歯後は、歯列が整い、デンタルフロスや歯間ブラシを使ったケアが効果的に行えるようになります。
これにより、全体的な口腔衛生が向上し、将来的な歯科治療の必要性が減少します。
親知らずを抜歯するデメリット

抜歯にはいくつかのデメリットもあります。
- 抜歯後に痛み・腫れを伴う
- 神経麻痺や多量の出血リスクがある
- 他の歯がダメになった場合に利用できなくなる
順番に解説します。
抜歯後に痛み・腫れを伴う
抜歯後、特に骨を削る必要がある場合には、痛みや腫れが生じやすくなります。
これは一時的な症状であり、多くの歯科医院では適切な鎮痛剤を用いて症状の緩和を図ります。
しかし、この痛みや腫れは、患者にとって不快感を伴うことがあり、抜歯の大きなデメリットの一つとされます。
神経麻痺や多量の出血リスクがある
親知らずが顎の神経に近接して位置している場合、抜歯時に神経を損傷するリスクがあります。
これにより、一時的または永続的な感覚麻痺が発生する可能性があります。
また、抜歯には出血リスクも伴いますが、適切な手技と事前のCT撮影により、これらのリスクを最小限に抑えることが可能です。
他の歯がダメになった場合に利用できなくなる
親知らずは、将来的に他の歯が損傷した際に、ブリッジや義歯のアンカー(支え)として利用する可能性があります。
そのため、抜歯を行う際には、これらのオプションが将来的に制限されることを理解しておく必要があります。
親知らず抜歯なら「歯科ハミール高田88」がおすすめな理由

「歯科ハミール高田88」(高田馬場 歯科)での親知らず抜歯をおすすめする理由は、以下の通りです。
- 経験豊富な赤崎公星院長が監修
- 最新設備による正確な診断
- 安心のアフターケア
- アクセスの良さ
- 柔軟な予約対応
順番に解説します。
経験豊富な赤崎公星院長が監修
歯科ハミール高田88の赤崎公星院長は、インビザラインプラチナエリートプロバイダーとしての実績に加え、大学病院レベルの難抜歯の経験も豊富です。
とくに親知らずの抜歯においては、多くの症例を手がけており、迅速かつ正確な抜歯を行うことができます。
患者1人ひとりに合わせた治療計画を立てるため、安心して手術を受けられます。
親知らずの抜歯で不安を感じている方は、一度相談してみることを強くおすすめします。
≫高田馬場の歯医者|歯科ハミール高田88のスタッフ紹介はこちら
最新設備による正確な診断
歯科ハミール高田88では、CT撮影や最新の3Dスキャナー「iTero」を導入しており、抜歯前の詳細な診断を行います。
これにより、歯の位置や形状、周囲の骨構造を正確に把握し、リスクを最小限に抑えた安全で確実な治療が可能です。
CTによる立体画像解析により、神経や血管の位置も明確にし、難易度の高い親知らずの抜歯にも対応しています。
この先端技術により、術後の合併症リスクも大幅に低減できます。
≫高田馬場の歯医者|歯科ハミール高田88の親知らず抜歯の概要についてはこちら
安心のアフターケア
歯科ハミール高田88では、毎日多くの抜歯症例をこなしており、抜歯後のケアにも万全の体制を整えています。
赤崎院長をはじめとする経験豊富なスタッフが、患者様1人ひとりに合わせたケアを丁寧に提供します。
術後の痛みや腫れの管理から、適切な食事のアドバイスまで、あらゆるサポートを受けられます。
安心して術後の経過を見守ることができるよう、必要に応じて迅速な対応が可能です。
アクセスの良さ
歯科ハミール高田88は、JR高田馬場駅から徒歩1分という好立地に位置しており、通院が非常に便利です。
BIGBOXの向かいにあり、通勤・通学の途中でも気軽に立ち寄ることができるため、忙しい方でも無理なく通院を続けられます。
立地の良さは、急なトラブルが発生した際にも素早く対応できる点でも大きなメリットです。
≫高田馬場の歯医者|歯科ハミール高田88のアクセス・診療時間についてはこちら
柔軟な予約対応
歯科ハミール高田88では、患者様のライフスタイルに合わせた柔軟な予約対応を行っています。
電話予約、ウェブ予約、LINE予約、さらにはSNSでの予約にも対応しており、忙しい日常の中でもスムーズに予約が取れる体制が整っています。
また、急な予定変更にも柔軟に対応してくれるため、仕事やプライベートを優先しながら無理なく通院を続けられます。
≫高田馬場の歯医者|歯科ハミール高田88の24時間WEB予約はこちらから
まとめ【親知らずは歯科検診で定期的なチェックをしましょう!】
親知らずは、位置や構造の関係から歯周病リスクが高くなりやすい歯です。
歯周病の予防や適切なケアを行うためにも、定期的な歯科検診でチェックを受けることをおすすめします。
JR山手線や東西線高田馬場駅の前に位置する歯科ハミール高田88では、親知らず抜歯や歯周病ケアに関して豊富な経験がありますので、どうぞお気軽にご相談ください。
お問い合わせ
歯科ハミール高田88(高田馬場 歯科 新宿区 歯医者 東京都 歯科医院)
住所: 東京都新宿区高田馬場1−27−6 KIビル4F 高田馬場駅から徒歩1分 BIGBOX前
電話: 03-6709-6866
ホームページ: https://hamille-takada88.com/cms/
当院、医療法人歯科ハミールの分院も、今後共よろしくお願いいたします。
- 医療法人歯科ハミール:https://hamille-dental.com/
- 歯科ハミール本院:https://hamille-dental.com/hamille
- 歯科ドクターHa:https://hamille-dental.com/doctorha
- ハミール東京デンタルオフィス:https://hamille-dental.com/tokyo
- デンタルオフィス虎ノ門:https://hamille-dental.com/toranomon
- ハミール東京デンタルオフィス小川町:https://hamille-dental.com/ogawamachi
この記事を監修した医師
赤崎 公星(あかさき こうせい)
歯科ハミール 理事長・歯科医師|愛知学院大学歯学部卒|厚生労働省認定臨床研修指導医