column
コラム
- 高田馬場歯医者 | 歯科ハミール高田88 TOP
- コラム一覧
- 親知らずによる症状【高田馬場|歯科ハミール高田88 赤崎 公星院長 監修】
親知らずによる症状【高田馬場|歯科ハミール高田88 赤崎 公星院長 監修】
- 「親知らずによる症状が知りたい!」
- 「親知らずを抜歯する際の医院の選び方を教えて欲しいです!」
- 「親知らず抜歯のメリットってなんだろう?」
このような悩みを解決できる記事となっています。
親知らずは、口の中で最も奥に位置する歯で、時には顎のスペース不足や歯並びに影響を及ぼすことがあります。
親知らずが生えると、痛みや腫れ、さらには歯列全体への影響など、さまざまな症状を引き起こすことがあります。
本記事では、親知らずによる代表的な症状や抜歯のメリット・デメリットについて詳しく解説します。
新宿区高田馬場に位置する【歯科ハミール高田88】では、赤崎公星院長の指導のもと、親知らず治療を安心して受けられる環境を整えています。
関連記事:<東京都新宿区高田馬場 JR山手線駅前 歯科> 親知らずを抜かずに矯正することは可能なのか?抜歯後の注意点も解説
この記事の監修者
こんにちは。
歯科ハミール高田88 院長の茂木 将(もてぎ まさし)です。
当院は"ホスピタリティ"を大切に、患者様とのコミュニケーションを何より重視しています。
痛みへの配慮はもちろんのこと、治療にかかる費用や期間を事前にわかりやすくご説明し、納得いただいたうえで最適な治療計画をご提案します。
これまで、総合病院の口腔外科や大学病院のインプラント科で研修を積み、現在も勉強会やセミナーに積極的に参加しながら、最新の技術や知見を治療に反映しています。
特に、神経や歯をできる限り残す治療を軸に、患者様のお口の健康を長く守ることを目指しています。
私は高田馬場の出身です。
この馴染み深い地域で、皆様にとって「通いやすく、安心できる歯科医院」であり続けられるよう努めてまいります。
◆経歴
・ 2020年3月東京歯科大学 卒業
・ 2020年4月東京都立広尾病院 歯科口腔外科・有病者歯科 研修
・ 2022年3月東京都立広尾病院 歯科口腔外科・有病者歯科 研修修了
・ 2022年4月東京都立広尾病院 歯科口腔外科・有病者歯科 非常勤
・ 2022年4月東京歯科大学口腔インプラント学講座 臨床専修科生
・ 2024年4月東京歯科大学口腔インプラント学講座 レジデント
・ 2025年4月東京歯科大学口腔インプラント学講座非常勤歯科医師
・ 2025年4月ハミール高田88院長
現在に至る
◆所属団体
・ 有病者歯科医療学会
・ 日本口腔インプラント学会
・ 顎顔面インプラント学会
・ ITIメンバー(世界中のインプラントの専門家を結ぶグループ)
・ 厚労省後援:Sauna Spa Professional
・ 茂木将 - Wikipedia
目次
親知らずによる症状
親知らずが引き起こす代表的な症状は、次のとおりです。
- 歯茎の痛み・腫れ
- 咬むと痛む
- 歯並びが悪くなる
- 頭痛は起こる
- 口を開けると痛い
- 智歯周囲炎
順番に解説します。
歯肉の痛み・腫れ
親知らずが生えようとする際、歯茎に圧力がかかり、痛みや腫れが生じることがあります。特に埋伏歯(完全に生えていない歯)や部分的にしか生えていない親知らずは、歯茎に炎症を引き起こしやすく、頻繁に痛みを伴います。さらに、歯肉の腫れが悪化すると、感染のリスクが高まり、より深刻な症状へと進行する可能性があります。
対処法
・炎症を抑えるために冷やすことが効果的です。
・炎症が続く場合は、歯科医の診察を受けて、必要なら抗生物質や消炎薬の処方を受けることをお勧めします。
咬むと痛む
親知らずが隣の歯に圧力をかけると、食事や噛む動作で痛みを感じることがあります。この圧力は、隣接歯との接触や歯茎の腫れによって引き起こされ、食事中に不快感や強い痛みが発生します。特に親知らずが斜めや横向きに生えている場合、こうした症状が現れることが多いです。
対処法
・噛むのが辛い場合は、柔らかい食べ物を選び、刺激を避けることが重要です。
・状況に応じて、歯科医による抜歯が推奨されることがあります。
歯並びが悪くなる
親知らずが正しい位置に生えず、他の歯を押し出すと、歯列全体が乱れる原因になります。これは、特に歯列矯正中の人や、すでに整った歯並びを保ちたい人にとって大きな問題です。放置すると、噛み合わせや歯の美観にも悪影響を及ぼし、さらに治療が難しくなることがあります。
対処法
・親知らずが歯列に影響を与えている場合は、早めの抜歯を検討するのが良いでしょう。
・歯並びが乱れた場合は、矯正歯科での再調整が必要になることがあります。
関連記事:親知らずが原因で噛み合わせが悪くなる理由|抜歯が必要なケースも紹介 |東京都新宿区 高田馬場 歯科ハミール高田88
頭痛が起こる
意外かもしれませんが、親知らずによる痛みは頭痛の原因となることがあります。特に、親知らずが顎の骨に影響を与えると、顎関節の炎症が引き起こされ、それが頭痛やこめかみの痛みに繋がることがあります。
対処法
・頭痛を軽減するためには、まず親知らずの痛みを抑えることが重要です。
・歯科医に相談し、必要ならば薬物療法や抜歯手術を検討しましょう。
口を開けると痛い
親知らずが生えている位置によっては、顎の筋肉や関節に負担がかかり、口を開けるときに痛みを感じることがあります。特に智歯周囲炎が進行すると、顎全体に炎症が広がり、口を大きく開けられなくなることもあります。
対処法
・口の開閉が辛い場合、無理に動かさず、安静に保つことが重要です。
・症状が長引く場合は、すぐに歯科医を訪れ、適切な治療を受けましょう。
智歯周囲炎
智歯周囲炎は、親知らずの周りの歯茎に炎症が起こり、膿が溜まる症状です。この状態になると、強い痛みと腫れを伴い、時には顔全体が腫れることもあります。炎症が悪化すると、全身に感染が広がるリスクもあるため、早急な対応が必要です。
対処法
・智歯周囲炎は歯科医での治療が必要不可欠です。膿を除去し、感染を防ぐために抗生物質を処方されることが一般的です。
・症状が重い場合は、抜歯や切開を行うことも検討されます。
智歯周囲炎
親知らずの周辺の歯茎に炎症が生じ、膿が溜まる智歯周囲炎は、痛みや腫れを引き起こす非常に一般的な症状です。感染が広がると、全身に悪影響を及ぼす可能性もあるため、早期の治療が必要です。
関連記事:親知らずを放置して死亡する確率 【高田馬場|歯科ハミール高田88 赤崎 公星院長 監修】
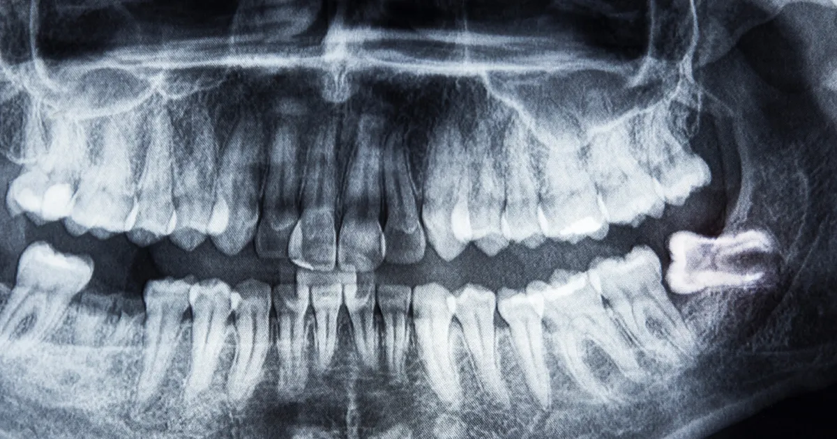
親知らずのタイプ
親知らずの状態は、次のようなタイプに分類されます。
- 生えているタイプ
- 斜めに生えているタイプ
- 完全に歯茎に埋まっているタイプ
順番に解説します。
生えているタイプ
親知らずが完全に歯ぐきの外に出ている状態で、比較的健康な状態にあります。ただし、ブラッシングが難しい場所にあるため、むし歯になりやすいです。
斜めに生えているタイプ
親知らずが正常にまっすぐ生えず、斜めや横向きに生えることがあります。これにより、隣の歯や歯茎に影響を与え、痛みや炎症を引き起こします。
完全に歯茎に埋まっているタイプ
親知らずが完全に歯茎や骨の中に埋まっている場合、通常は痛みがないことが多いですが、感染のリスクがあるため、定期的なチェックが必要です。
関連記事:【保存版】親知らずの3つの生え方|【新宿区 高田馬場|歯科ハミール高田88 赤崎 公星院長 監修】
親知らずを抜歯する際の医院の選び方

親知らずの抜歯は、医院選びが非常に重要です。以下の点に注意して、適切な医院を選びましょう。
- 歯科用CTなど最新の設備がある
- 丁寧な説明を行っている
- 通院可能な場所
- ホームページに親知らず情報が充実しているか
順番に解説します。
歯科用CTなど最新の設備がある
親知らずの位置や骨の状態を正確に把握するためには、歯科用CTなどの最新の機器が必要です。これにより、より安全で正確な抜歯が可能になります。
丁寧な説明を行っている
親知らずの抜歯は不安を伴うことが多いです。治療の前にしっかりとカウンセリングを行い、患者の状態に合わせた丁寧な説明をしてくれる医院を選びましょう。
通院可能な場所
親知らず抜歯後は定期的なチェックが必要なため、通いやすい場所にある歯科医院を選ぶことが重要です。高田馬場駅から徒歩1分の【歯科ハミール高田88】は、アクセスの良さが大きな利点です。
ホームページに親知らず情報が充実しているか
医院のホームページに、親知らずやその治療に関する情報が豊富に掲載されている医院は、専門的な治療を行っている可能性が高いです。事前に情報を確認し、信頼できる医院を選びましょう。
関連記事:親知らず抜歯のスケジュール(流れ)|抜歯後の治癒過程も解説
親知らず抜歯のメリット
親知らずを抜歯することで、炎症や痛みが治まり、他の歯への影響を防ぐことができます。
また、将来的に親知らずがむし歯になったり、周囲の歯茎が悪化するリスクを軽減することができます。
親知らず抜歯のデメリット
親知らず抜歯後は、痛みや腫れが生じることがあります。また、治癒期間中に飲食や口腔内のケアに制限が生じることもあります。
「親知らず 症状」で検索する人のよくある質問

「親知らず 症状」で検索する人がよく持つ疑問について回答します。
- 親知らずは必ず抜かないといけませんか?
- 親知らずの抜歯前にしてはいけないことはありますか?
- 親知らずの抜歯は大体どのくらいかかりますか?
順番に解説します。
親知らずは必ず抜かないといけませんか?
親知らずは、症状がない場合や他の歯に影響を与えない場合は、抜歯をしないこともあります。ただし、炎症や痛みが頻繁に起こる場合は、抜歯が推奨されます。
親知らずの抜歯前にしてはいけないことはありますか?
抜歯前には、過度の運動や飲酒、喫煙を避けることが推奨されます。また、服用している薬については、歯科医に事前に相談しましょう。
親知らずの抜歯は大体どのくらいかかりますか?
親知らずの抜歯の費用は、抜歯の難易度や医院によって異なりますが、保険適用であれば比較的安価で治療を受けることができます。
関連記事:親知らずの腫れはいつまで続く?【東京都新宿区 高田馬場|歯科ハミール高田88 赤崎 公星院長 監修】
まとめ【親知らずの症状はさまざまです】
親知らずが引き起こす症状は多岐にわたり、早めの対策が必要です。症状が出た場合は、早期に適切な治療を受けることが大切です。高田馬場駅から徒歩1分の【歯科ハミール高田88】では、親知らず抜歯に関する豊富な経験を持つ院長が、患者様に最適な治療をご提供しています。親知らずに関するお悩みは、お気軽にご相談ください。
お問い合わせ
歯科ハミール高田88(高田馬場 歯科、高田馬場 歯医者、高田馬場 歯科医院)
住所: 東京都新宿区高田馬場1−27−6 KIビル4F(高田馬場駅から徒歩1分、BIGBOX前)
電話: 03-6709-6866
ホームページ: https://hamille-takada88.com
関連記事:親知らずによるストレスを減らす方法 【新宿区 高田馬場 JR山手線駅前|歯科ハミール高田88 赤崎 公星院長 監修】
診療案内consultation time
10:00~19:00(平日)/~18:00(土日)
休診日 – 祝日/年末年始

RESERVATION ご予約/問い合わせ
高田馬場、西早稲田、下落合、新宿区、新大久保、大久保、目白、戸山公園、池袋、新宿、東新宿、豊島区、学習院下エリアで歯医者をお探しなら「歯科ハミール高田88」にお越しください。
