【どうして?】親知らずを全身麻酔で抜歯するメリット3選
- 「親知らずを全身麻酔で抜歯するメリットが知りたい!」
- 「親知らずを全身麻酔で抜歯するリスクが知りたい。」
- 「全身麻酔で抜歯する流れが知りたい。」
などとお考えではありませんか?
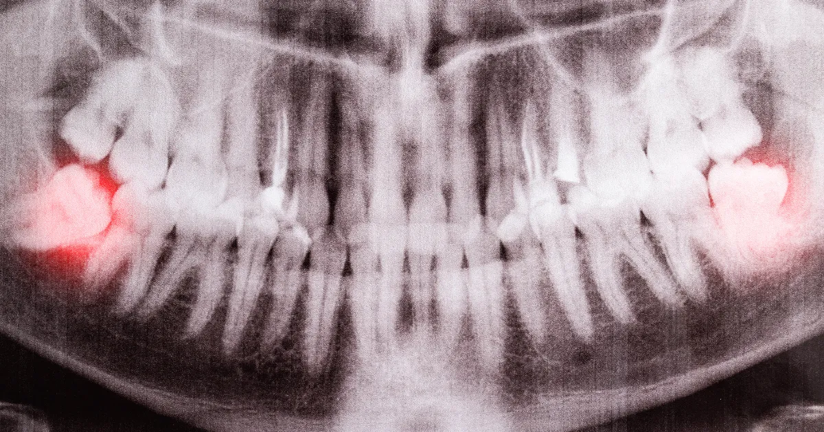
親知らずの抜歯は、埋まっている位置や神経との関係によっては難易度が高くなることがあります。
特に恐怖心や不安が強い患者様の場合、全身麻酔での抜歯が選択されることがあります。
しかし、歯科ハミール高田88(高田馬場 歯科)では、全身麻酔が必要な特殊なケース(例:障害者の方や極度の歯科恐怖症の方)以外、大学病院へ紹介せず、通常の難抜歯も含めて抜歯に精通した専門医が対応しています。
この記事では、全身麻酔での親知らず抜歯についてのメリットやリスク、さらに歯科ハミール高田88での対応について詳しく解説します。
親知らずを全身麻酔で抜歯するメリット3選

親知らずを全身麻酔で抜歯する際のメリットは以下の通りです。
- 抜歯中に痛みを感じにくい
- 同時に数本の歯を抜歯できる
- 抜歯と併せて他の治療も行うことが可能
順番に解説します。
抜歯中に痛みを感じにくい
全身麻酔は、患者様が完全に意識を失い、手術中に痛みや不快感を感じない状態で抜歯を行えるという利点があります。
特に恐怖心が強い方にとっては、不安を感じることなくリラックスした状態で治療が進むため、心理的負担をかなり軽減できます。
同時に数本の歯を抜歯できる
全身麻酔下では、複数の親知らずを同時に抜歯することが可能です。
これにより、手術回数を減らすことができ、治療期間も短縮されます。
特に埋伏歯が多い場合や難抜歯が予想される場合には有効です。
抜歯と併せて他の治療も行うことが可能
全身麻酔下では、親知らずの抜歯だけでなく、他の治療も同時に行うことができます。
たとえば、虫歯治療や歯周病治療も一度に済ませることができるため、総合的な治療計画が立てやすくなります。
費用も高くなりますし、総合的に最初から考える必要がありますので担当医としっかり相談が必要ですね。
関連記事:親知らず抜歯のスケジュール(流れ)|抜歯後の治癒過程も解説
親知らずを全身麻酔で抜歯するデメリット

一方で、全身麻酔には以下のようなデメリットがあります。
- 自分で呼吸が出来ない(全身麻酔時)
- 全身麻酔をしても体は痛みを感じている
順番に解説します。
自分で呼吸ができない(全身麻酔時)
全身麻酔では、患者様は自発呼吸ができなくなるため、人工呼吸器で呼吸を管理する必要があります。
これにより、全身のモニタリングが欠かせないため、専用の設備と歯科医師の経験や技術が重要となります。
全身麻酔をしても体は痛みを感じている
全身麻酔中、意識は失われていますが、実際に体自体は手術による刺激を感じています。
そのため、術後の痛みや不快感が残ることがあります。
術後の鎮痛管理が非常に重要です。要は治療自体はしているので痛みは0にはならないわけですね。
関連記事:【意外と知らない】親知らずを放置する問題|抜歯後の注意点も解説
親知らずを全身麻酔で抜歯するリスク

全身麻酔には一定のリスクが伴います。以下は、全身麻酔による主なリスクです。
- 意識損失
- アレルギー反応
- 呼吸器の問題
- 循環器の問題
順番に解説します。
意識損失
麻酔が適切に管理されていない場合、意識回復が遅れるリスクがあります。
歯科ハミール高田88(新宿区 歯医者)ではこのようなリスクを避けるために、全身麻酔が必要なケースは大学病院の口腔外科に紹介状を書いて紹介させていただいております。
アレルギー反応
麻酔薬に対するアレルギー反応が出る可能性もあります。
これを避けるため、事前のカウンセリングや検査で、患者様の体調や既往歴、お薬手帳などをしっかり確認しています。
呼吸器の問題
全身麻酔中は人工呼吸器に頼るため、呼吸に関する問題が発生するリスクがあります。
呼吸器系の既往症を持つ患者様は特に慎重な対応が求められます。
循環器の問題
麻酔によって血圧や心拍数が乱れるリスクがあるため、全身麻酔には循環器系のモニタリングも重要です。
親知らずを全身麻酔で抜歯する方法

全身麻酔を使用する方法は以下の通りです。
- 吸入鎮静法
- 静脈内鎮静法
順番に解説します。
吸入鎮静法
吸入鎮静法は、鎮静ガスを吸入することで意識を変えていく方法です。
麻酔の一種ですが、患者様の意識を完全に失わせるわけではなく、軽い麻酔状態にします。
歯科治療に対する強い恐怖心を持つ患者様に適しています。
静脈内鎮静法
静脈に麻酔薬を投与する方法で、深い鎮静状態を作り出します。
局所麻酔との併用が多く、完全に意識を失うことなく、声かけも反応できたりとリラックスした状態で治療を進めることができます。
親知らず抜歯で全身麻酔を安全にするための取り組み

全身麻酔を安全に行うために、次の取り組みが行われます。
- 詳細な診断
- 患者様への丁寧な説明
- 適切な設備
順番に解説します。
詳細な診断
事前にレントゲンやCTスキャンを使い、親知らずの位置や神経との関係を詳細に診断します。
これにより、抜歯のリスクを最小限に抑えることが可能です。
患者様への丁寧な説明
麻酔の方法やリスクについて患者様に十分な説明を行います。
患者様の理解と同意を得てから治療を進めることで、安全性が確保されます。
適切な設備
全身麻酔を行うには、適切な設備が不可欠です。
歯科ハミール高田88では、全身麻酔が必要な場合には、大学病院の口腔外科に紹介し、安心して手術を受けられる体制を整えています。
関連記事:親知らず抜歯後におすすめの食べ物|腫れを防ぐためのポイントも解説
親知らず抜歯後の注意事項

親知らずの抜歯後には、いくつかの注意点があります。
- 食事は全身麻酔が切れてから
- 抜歯をおこなった日は軽くうがいする
- 歯磨きは優しく行う
- 喫煙・飲酒・激しい運動・入浴を避ける
- 患部を舌や指で触らない
- 安静にする
順番に解説します。
食事は全身麻酔が切れてから
全身麻酔が完全に切れて意識が戻った後に、最初の食事を摂ることが勧められます。
手術当日は、消化が良く、柔らかい食事を選ぶことが重要です。
スープやヨーグルト、アイスクリームなどが適しています。熱すぎるまたは冷たすぎる食事は避け、口内環境を刺激しないようにします。
抜歯をおこなった日は軽くうがいする
手術後は、血餅が安定するまで強い口すすぎを避けることが必要です。
優しくうがいをすることで、傷口の治癒を助け、感染リスクを低減します。
うがい薬を使用する場合は、医師の指示に従ってください。
歯磨きは優しく行う
抜歯部位に触れないように、丁寧かつ優しく歯を磨くことが推奨されます。
非抜歯部位も清潔に保つことで、全体的な口内環境の健康を維持できます。
喫煙・飲酒・激しい運動・入浴を避ける
これらの行為は血行を促進し、出血や炎症のリスクを増大させるため、抜歯後数日間は避けるべきです。
特に喫煙は傷口の治癒を遅らせる要因となります。
患部を舌や指で触らない
手術後、患部を舌や指で触ることは避けるべきです。
これにより、感染のリスクが高まるだけでなく、炎症を引き起こす可能性もあります。
安静にする
抜歯後は、体をできる限り休めることが重要です。
無理な動作や労働を避け、十分な休息を取ることで、体の自然な治癒プロセスを助けます。
親知らずの抜歯における部分麻酔と全身麻酔の選択肢!

親知らずの抜歯における麻酔方法として、部分麻酔(局所麻酔)と全身麻酔のどちらを選択するかは、手術の難易度、患者の健康状態、個々の希望によって決まります。以下に、それぞれの麻酔方法について詳しく説明します。
部分麻酔(局所麻酔)
概要 部分麻酔は、手術を行う部位だけを麻痺させる方法です。歯科治療において最も一般的に使用される麻酔法です。
適用ケース
単純な抜歯: 親知らずが正常に生えており、歯肉に埋没していない場合。
低リスク患者: 健康状態が良好で、全身麻酔の必要がない場合。
メリット
覚醒状態: 患者は手術中に意識があり、必要に応じて医師とコミュニケーションが取れます。
リスクの少なさ: 局所麻酔は全身麻酔に比べてリスクが低く、特に呼吸抑制や心血管への影響が少ないです。
短い回復時間: 麻酔の効果が切れるのが比較的早いため、手術後の回復が早いです。
デメリット
不快感: 麻酔が効いていても、手術中の圧力や引っ張られる感覚を感じることがあります。
不安感: 手術中に意識があることから、不安や恐怖を感じる患者もいます。
全身麻酔
概要 全身麻酔は、患者を完全に眠らせる方法で、意識を完全に失わせるため、手術中の痛みや不快感を全く感じません。
適用ケース
複雑な抜歯: 親知らずが歯肉や骨に深く埋まっている場合や、歯の位置が複雑な場合。
高リスク患者: 局所麻酔に対してアレルギーがある場合や、過去に麻酔による問題があった場合。
不安が強い患者: 手術に対して強い不安や恐怖を感じる患者。
メリット
痛みへの配慮: 患者さまは眠っている状態で処置を受けるため、手術中の痛みや不快感への不安を軽減しやすくなります。
不安の軽減: 手術に対する恐怖心が強い患者にとって、全身麻酔は大きな安心感を提供します。
複雑な手術の対応: 手術が長時間にわたる場合や、高度な技術を要する場合に適しています。
デメリット
リスクの高さ: 全身麻酔は呼吸抑制や心血管への影響など、局所麻酔に比べてリスクが高くなります。
回復時間の長さ: 麻酔からの覚醒には時間がかかり、手術後の回復が遅くなることがあります。
費用: 全身麻酔は局所麻酔に比べて費用が高くなることが多いです。
選択のポイント
- 手術の難易度
単純な抜歯には局所麻酔、複雑な抜歯には全身麻酔が適しています。
- 患者の健康状態
持病やアレルギーがある場合、麻酔の選択が影響を受けます。
- 患者の希望
麻酔中の意識状態に関する希望(手術中に意識を保ちたいか、完全に眠りたいか)。
- 医師の判断
歯科医や麻酔医が、患者の状態や手術内容に基づいて最適な麻酔法を提案します。
親知らず抜歯なら歯科ハミール高田88がおすすめな理由

「歯科ハミール高田88」(高田馬場 歯科)での親知らず抜歯をおすすめする理由は、以下の通りです。
- 経験豊富な赤崎公星院長が監修
- 最新設備による正確な診断
- 安心のアフターケア
- アクセスの良さ
- 柔軟な予約対応
順番に解説します。
経験豊富な赤崎公星院長が監修
歯科ハミール高田88の赤崎公星院長は、インビザラインプラチナエリートプロバイダーとしての実績に加え、大学病院レベルの難抜歯の経験も豊富です。
とくに親知らずの抜歯においては、多くの症例を手がけており、迅速かつ正確な抜歯を行うことができます。
患者1人ひとりに合わせた治療計画を立てるため、安心して手術を受けられます。
親知らずの抜歯で不安を感じている方は、一度相談してみることを強くおすすめします。
最新設備による正確な診断
歯科ハミール高田88では、CT撮影や最新の3Dスキャナー「iTero」を導入しており、抜歯前の詳細な診断を行います。
これにより、歯の位置や形状、周囲の骨構造を正確に把握し、リスクを最小限に抑えた安全で確実な治療が可能です。
CTによる立体画像解析により、神経や血管の位置も明確にし、難易度の高い親知らずの抜歯にも対応しています。
この先端技術により、術後の合併症リスクも大幅に低減できます。
安心のアフターケア
歯科ハミール高田88では、毎日多くの抜歯症例をこなしており、抜歯後のケアにも万全の体制を整えています。
赤崎院長をはじめとする経験豊富なスタッフが、患者様1人ひとりに合わせたケアを丁寧に提供します。
術後の痛みや腫れの管理から、適切な食事のアドバイスまで、あらゆるサポートを受けられます。
安心して術後の経過を見守ることができるよう、必要に応じて迅速な対応が可能です。
アクセスの良さ
歯科ハミール高田88は、JR高田馬場駅から徒歩1分という好立地に位置しており、通院が非常に便利です。
BIGBOXの向かいにあり、通勤・通学の途中でも気軽に立ち寄ることができるため、忙しい方でも無理なく通院を続けられます。
立地の良さは、急なトラブルが発生した際にも素早く対応できる点でも大きなメリットです。
柔軟な予約対応
歯科ハミール高田88では、患者様のライフスタイルに合わせた柔軟な予約対応を行っています。
電話予約、ウェブ予約、LINE予約、さらにはSNSでの予約にも対応しており、忙しい日常の中でもスムーズに予約が取れる体制が整っています。
また、急な予定変更にも柔軟に対応してくれるため、仕事やプライベートを優先しながら無理なく通院を続けられます。
まとめ【親知らず抜歯を全身麻酔して行うメリット・デメリットを理解しましょう】
親知らずの全身麻酔での抜歯は、特定のケースにおいて非常に有効ですが、全ての患者に適応されるわけではありません。
歯科ハミール高田88(新宿区 歯医者)では、全身麻酔が不要な難抜歯でも安全に行える環境が整っており、日常的に親知らずの抜歯を行っています。
全身麻酔が必要な場合は、適切な大学病院へ紹介し、万全の体制で患者様に最適な治療を提供しています。
親知らず抜歯についてのご相談は、歯科ハミール高田88までお気軽にお問い合わせください。
お問い合わせ
歯科ハミール高田88(高田馬場 歯科、高田馬場 歯医者、高田馬場 歯科医院)
住所: 東京都新宿区高田馬場1−27−6 KIビル4F(高田馬場駅から徒歩1分、BIGBOX前)
電話: 03-6709-6866
ホームページ: https://hamille-takada88.com
この記事を監修した医師
赤崎 公星(あかさき こうせい)
歯科ハミール 理事長・歯科医師|愛知学院大学歯学部卒|厚生労働省認定臨床研修指導医
この記事の監修者
こんにちは。
歯科ハミール高田88 院長の茂木 将(もてぎ まさし)です。
当院は"ホスピタリティ"を大切に、患者様とのコミュニケーションを何より重視しています。
痛みへの配慮はもちろんのこと、治療にかかる費用や期間を事前にわかりやすくご説明し、納得いただいたうえで最適な治療計画をご提案します。
これまで、総合病院の口腔外科や大学病院のインプラント科で研修を積み、現在も勉強会やセミナーに積極的に参加しながら、最新の技術や知見を治療に反映しています。
特に、神経や歯をできる限り残す治療を軸に、患者様のお口の健康を長く守ることを目指しています。
私は高田馬場の出身です。
この馴染み深い地域で、皆様にとって「通いやすく、安心できる歯科医院」であり続けられるよう努めてまいります。
◆経歴
・ 2020年3月東京歯科大学 卒業
・ 2020年4月東京都立広尾病院 歯科口腔外科・有病者歯科 研修
・ 2022年3月東京都立広尾病院 歯科口腔外科・有病者歯科 研修修了
・ 2022年4月東京都立広尾病院 歯科口腔外科・有病者歯科 非常勤
・ 2022年4月東京歯科大学口腔インプラント学講座 臨床専修科生
・ 2024年4月東京歯科大学口腔インプラント学講座 レジデント
・ 2025年4月東京歯科大学口腔インプラント学講座非常勤歯科医師
・ 2025年4月ハミール高田88院長
現在に至る
◆所属団体
・ 有病者歯科医療学会
・ 日本口腔インプラント学会
・ 顎顔面インプラント学会
・ ITIメンバー(世界中のインプラントの専門家を結ぶグループ)
・ 厚労省後援:Sauna Spa Professional
・ 茂木将 - Wikipedia
