【保存推奨】親知らずを放置して死亡する確率
親知らずの治療を検討中の方は
親知らず治療のご案内ページをご覧ください。
「親知らずを放置していたら命に関わることがある」という話を聞いたことはありませんか?
実際に親知らずが原因で命に関わるケースはほとんどありませんが、間接的な要因にもなり得るので絶対にあり得ないわけではありません。
例えば、親知らずからの炎症から感染症が悪化して全身に広がるリスクは無視できません。
この記事では、親知らずを放置して死亡する可能性があるケースやそのリスク、さらには予防法について解説します。
また、JR山手線 高田馬場駅徒歩1分の歯医者 歯科ハミール高田88の対応についてもご紹介します。
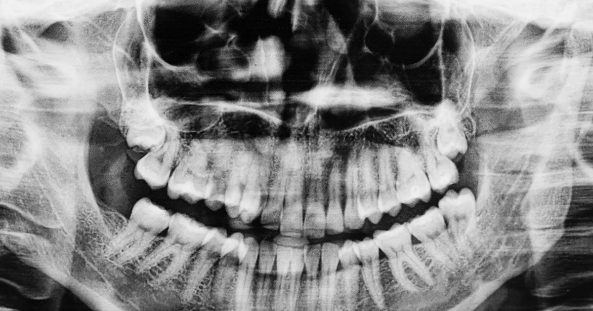
親知らずを放置して死亡する確率
親知らずを放置して死亡に至るケースは非常に稀です。ただし、放置によって次のような深刻な事態が起こる可能性があります。
- 感染が広範囲に及び、歯科治療が難しくなる
- 全身的な合併症を引き起こす(敗血症など)
- 御高齢であったり免疫力が低下している場合は、感染が致命的になることも
健康状態や親知らずの状態に応じてリスクは異なりますが、いずれにせよ未然に防ぐためには早めの治療が重要です。
関連記事:【保存版】親知らず抜歯後の痛みに耐えられないときの対処法7選
親知らずを放置して死亡する可能性があるケース

親知らずを放置すると、以下のようなケースで命に関わってくる可能性があります。
- 感染が顎の下に拡がる
- 感染が喉周辺にまで拡がる
- 感染が心臓周辺にまで拡がる
順番に解説します。
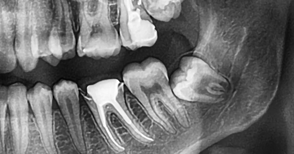
感染が顎の下に拡がる
親知らずが原因で細菌感染が起こると、徐々に徐々に顎の下の空間に膿がたまり、炎症が進行していくことがあります。
この状態を「顎下膿瘍」と呼びます。症状が重篤化すると呼吸困難や喉の腫れを引き起こしやすいです。
感染が喉周辺にまで拡がる
感染が喉や気管周辺に進展すると、気道が塞がれていく危険性があります。これにより、呼吸困難や窒息のリスクが高まります。
感染が心臓周辺にまで拡がる
極端な例ですが、細菌が血液を通じて心臓や血管に到達すると、「感染性心内膜炎」や敗血症などの全身的な感染症を引き起こす可能性があります。
この場合、命に関わる緊急事態となります。極端とはいえ怖いですね。
関連記事:【現役歯科医師が監修】親知らずを抜かない人の割合とは?抜くべきかの判断基準も解説
親知らずの主な症状

親知らずが引き起こす主な症状は次のとおりです。
- 痛み・腫れが出てくる
- 口が開きにくくなる
- 歯の歯肉がうずく
順番に解説します。
痛み・腫れが出てくる
親知らずが真っ直ぐ歯列に沿った正しい位置に生えない場合、痛みや腫れが生じやすいです。これが初期段階のサインです。
口が開きにくくなる
炎症が進行すると、顎関節や筋肉に影響を及ぼし、口が開きにくくなる可能性が高まります。
歯の歯肉がうずく
歯茎が炎症を起こし、親知らず周辺がズキズキと痛む場合があります。
これが全身への感染の前兆となることもあります。
関連記事:親知らずによる症状【高田馬場|歯科ハミール高田88 赤崎 公星院長 監修】
親知らずが痛み始めた時の対処法

親知らずの痛みが現れた場合、次の対処法を試してください。
- 痛み止めを服用する
- 患部を冷やす
- 口内を清潔に保つ
- 早めに歯科医師に相談する
順番に解説します。
痛み止めを服用する
院内処方や市販の鎮痛剤(例:ロキソニンやアセトアミノフェン)で一時的に痛みを和らげることができます。
患部を冷やす
アイスや冷却シートを使って痛みのある部分を冷やすことで、炎症を緩和できます。ただし、冷やしすぎないように注意しましょう。
口内を清潔に保つ
ぬるま湯でうがいをするなど、口内の衛生を保つことが重要です。特にアルコール成分の強い洗口液は刺激が強いため避けましょう。
早めに歯科医師に相談する
痛みや腫れが続く場合は、できるだけ早く歯科医院を受診してください。新宿や池袋から近くの歯科ハミール高田88ではいつでも急患に対応しています。
親知らずを放置して死亡するリスクを減らす方法
親知らずが原因で深刻な事態を避けるために、以下のポイントに注意してください。
- 痛みがなくても定期的に歯科検診を受ける
- 症状が出たら早めに歯科医師に相談する
- 抜歯が推奨された場合は指示に従う
新宿区高田馬場 歯科ハミール高田88では、最新の診断機器と親知らず抜歯の経験値の高い歯科医師が対応し、安全で快適な治療を提供しています。
「親知らず 放置 死亡」で検索する人のよくある質問(FAQ)

「親知らず 放置 死亡」で検索する人のよくある質問は以下のとおりです。
- 親知らずを抜いたほうがいいサインが知りたいです。
- 親知らずを抜く費用はいくらですか?
- 埋まった親知らずは抜くべきですか?
- 親知らずを抜くと小顔になりますか?
- 親知らずの抜歯は入院した方がいいですか?
順番に解説します。
親知らずを抜いたほうがいいサインが知りたいです。
痛みや腫れ、口の開閉時の違和感が出ている場合は抜歯を検討してください。また、歯科医師による診断で親知らずが斜めに埋まっている場合も抜歯が必要です。
親知らずを抜く費用はいくらですか?
保険適用の場合、抜歯の費用は約3,000円〜10,000円が目安です。埋伏歯の場合はCT撮影や難抜歯加算、テルプラグといった薬で16,000円ほどとさらに費用がかかることがあります。
埋まった親知らずは抜くべきですか?
埋まっている親知らずは感染や炎症のリスクが高いため、かかりつけ歯科医師と相談し必要に応じて抜歯を検討しましょう。基本的に当院では難抜歯対応可能ですので、抜歯をおすすめしております。
親知らずを抜くと小顔になりますか?
親知らずの抜歯で顎周りがすっきりするケースもありますが、美容目的での抜歯は慎重に検討してください。整形手術とは異なります。
親知らずの抜歯は入院した方がいいですか?
通常、入院は必要ありませんが埋伏歯や合併症のリスクが高い場合は、大学病院など医科との連携が取れる施設での処置を検討することもあります。
親知らず抜歯なら「歯科ハミール高田88」がおすすめな理由
「歯科ハミール高田88」(高田馬場 歯科)での親知らず抜歯をおすすめする理由は、以下の通りです。
- 経験豊富な赤崎公星院長が監修
- 最新設備による正確な診断
- 安心のアフターケア
- アクセスの良さ
- 柔軟な予約対応
順番に解説します。
経験豊富な赤崎公星院長が監修
歯科ハミール高田88の赤崎公星院長は、インビザラインプラチナエリートプロバイダーとしての実績に加え、大学病院レベルの難抜歯の経験も豊富です。
とくに親知らずの抜歯においては、多くの症例を手がけており、迅速かつ正確な抜歯を行うことができます。
患者1人ひとりに合わせた治療計画を立てるため、安心して手術を受けられます。
親知らずの抜歯で不安を感じている方は、一度相談してみることを強くおすすめします。
≫高田馬場の歯医者|歯科ハミール高田88のスタッフ紹介はこちら
最新設備による正確な診断
歯科ハミール高田88では、CT撮影や最新の3Dスキャナー「iTero」を導入しており、抜歯前の詳細な診断を行います。
これにより、歯の位置や形状、周囲の骨構造を正確に把握し、リスクを最小限に抑えた安全で確実な治療が可能です。
CTによる立体画像解析により、神経や血管の位置も明確にし、難易度の高い親知らずの抜歯にも対応しています。
この先端技術により、術後の合併症リスクも大幅に低減できます。
≫高田馬場の歯医者|歯科ハミール高田88の親知らず抜歯の概要についてはこちら
安心のアフターケア
歯科ハミール高田88では、毎日多くの抜歯症例をこなしており、抜歯後のケアにも万全の体制を整えています。
赤崎院長をはじめとする経験豊富なスタッフが、患者様1人ひとりに合わせたケアを丁寧に提供します。
術後の痛みや腫れの管理から、適切な食事のアドバイスまで、あらゆるサポートを受けられます。
安心して術後の経過を見守ることができるよう、必要に応じて迅速な対応が可能です。
アクセスの良さ
歯科ハミール高田88は、JR高田馬場駅から徒歩1分という好立地に位置しており、通院が非常に便利です。
BIGBOXの向かいにあり、通勤・通学の途中でも気軽に立ち寄ることができるため、忙しい方でも無理なく通院を続けられます。
立地の良さは、急なトラブルが発生した際にも素早く対応できる点でも大きなメリットです。
≫高田馬場の歯医者|歯科ハミール高田88のアクセス・診療時間についてはこちら
柔軟な予約対応
歯科ハミール高田88では、患者様のライフスタイルに合わせた柔軟な予約対応を行っています。
電話予約、ウェブ予約、LINE予約、さらにはSNSでの予約にも対応しており、忙しい日常の中でもスムーズに予約が取れる体制が整っています。
また、急な予定変更にも柔軟に対応してくれるため、仕事やプライベートを優先しながら無理なく通院を続けられます。
≫高田馬場の歯医者|歯科ハミール高田88の24時間WEB予約はこちらから
まとめ
親知らずを放置することで、痛みや腫れだけでなく、重篤な感染症や全身的なリスクを引き起こす可能性があります。
早めに親知らず抜歯の専門医に相談し、適切な対応を取ることが大切です。新宿区高田馬場の歯科ハミール高田88では、親知らず治療から予防まで幅広く対応しています。
<東京都新宿区 歯医者>歯科ハミール高田88院 詳細情報
お問い合わせ
歯科ハミール高田88(高田馬場 歯科 新宿区 歯医者 東京都 歯科医院)
住所: 東京都新宿区高田馬場1−27−6 KIビル4F 高田馬場駅から徒歩1分 BIGBOX前
電話: 03-6709-6866
当院、医療法人歯科ハミールの分院も、今後共よろしくお願いいたします。
この記事を監修した医師
赤崎 公星(あかさき こうせい)
歯科ハミール 理事長・歯科医師|愛知学院大学歯学部卒|厚生労働省認定臨床研修指導医
この記事の監修者
こんにちは。
歯科ハミール高田88 院長の茂木 将(もてぎ まさし)です。
当院は"ホスピタリティ"を大切に、患者様とのコミュニケーションを何より重視しています。
痛みへの配慮はもちろんのこと、治療にかかる費用や期間を事前にわかりやすくご説明し、納得いただいたうえで最適な治療計画をご提案します。
これまで、総合病院の口腔外科や大学病院のインプラント科で研修を積み、現在も勉強会やセミナーに積極的に参加しながら、最新の技術や知見を治療に反映しています。
特に、神経や歯をできる限り残す治療を軸に、患者様のお口の健康を長く守ることを目指しています。
私は高田馬場の出身です。
この馴染み深い地域で、皆様にとって「通いやすく、安心できる歯科医院」であり続けられるよう努めてまいります。
◆経歴
・ 2020年3月東京歯科大学 卒業
・ 2020年4月東京都立広尾病院 歯科口腔外科・有病者歯科 研修
・ 2022年3月東京都立広尾病院 歯科口腔外科・有病者歯科 研修修了
・ 2022年4月東京都立広尾病院 歯科口腔外科・有病者歯科 非常勤
・ 2022年4月東京歯科大学口腔インプラント学講座 臨床専修科生
・ 2024年4月東京歯科大学口腔インプラント学講座 レジデント
・ 2025年4月東京歯科大学口腔インプラント学講座非常勤歯科医師
・ 2025年4月ハミール高田88院長
現在に至る
◆所属団体
・ 有病者歯科医療学会
・ 日本口腔インプラント学会
・ 顎顔面インプラント学会
・ ITIメンバー(世界中のインプラントの専門家を結ぶグループ)
・ 厚労省後援:Sauna Spa Professional
・ 茂木将 - Wikipedia