親知らずの腫れはいつまで続く?【知らないと危険】
- 「親知らずの腫れはいつまで続くのかな?」
- 「なんで親知らずって腫れるのかな?」
- 「親知らず抜歯後の注意点が知りたい!」
このような悩みを解決できる記事となっています。
親知らずを抜歯した後や、親知らずが腫れた経験をお持ちの方は少なくありません。
特に抜歯後の腫れは個人差がありますが、数日から1週間程度続くことが一般的ですね。
この記事では親知らずの腫れの原因や腫れを軽減するための方法、抜歯後の注意点などについてわかりやすく解説します。
この記事の監修者
こんにちは。
歯科ハミール高田88 院長の茂木 将(もてぎ まさし)です。
当院は"ホスピタリティ"を大切に、患者様とのコミュニケーションを何より重視しています。
痛みへの配慮はもちろんのこと、治療にかかる費用や期間を事前にわかりやすくご説明し、納得いただいたうえで最適な治療計画をご提案します。
これまで、総合病院の口腔外科や大学病院のインプラント科で研修を積み、現在も勉強会やセミナーに積極的に参加しながら、最新の技術や知見を治療に反映しています。
特に、神経や歯をできる限り残す治療を軸に、患者様のお口の健康を長く守ることを目指しています。
私は高田馬場の出身です。
この馴染み深い地域で、皆様にとって「通いやすく、安心できる歯科医院」であり続けられるよう努めてまいります。
◆経歴
・ 2020年3月東京歯科大学 卒業
・ 2020年4月東京都立広尾病院 歯科口腔外科・有病者歯科 研修
・ 2022年3月東京都立広尾病院 歯科口腔外科・有病者歯科 研修修了
・ 2022年4月東京都立広尾病院 歯科口腔外科・有病者歯科 非常勤
・ 2022年4月東京歯科大学口腔インプラント学講座 臨床専修科生
・ 2024年4月東京歯科大学口腔インプラント学講座 レジデント
・ 2025年4月東京歯科大学口腔インプラント学講座非常勤歯科医師
・ 2025年4月ハミール高田88院長
現在に至る
◆所属団体
・ 有病者歯科医療学会
・ 日本口腔インプラント学会
・ 顎顔面インプラント学会
・ ITIメンバー(世界中のインプラントの専門家を結ぶグループ)
・ 厚労省後援:Sauna Spa Professional
・ 茂木将 - Wikipedia
親知らずの腫れはいつまで続く?
抜歯後の腫れは大体ですが 48時間から72時間 をピークとして、1週間以内に軽減するケースが多いです。
しかし、腫れが2週間以上続く場合や、熱や膿のような症状が見られる場合は、感染やドライソケット(乾燥症)などの合併症の可能性があるため、早急にお近くの歯科医院を受診する必要があります。
関連記事:親知らず抜歯後にドライソケットじゃないのに痛い理由|予防方法も紹介
親知らずが腫れる理由

抜歯の難易度が高い
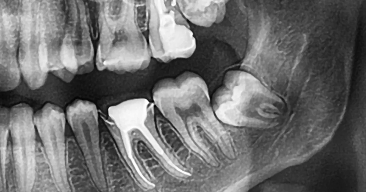
親知らずは「埋伏歯」や「水平埋伏歯」など、歯茎や顎骨内に埋まっていることが多く、周囲の組織を刺激してしまうことで腫れが生じることもあります。
また、骨を削ったり歯を分割して取り出す処置は外科的侵襲(刺激)が大きくなるため、術後の炎症が強く出ることがあります。
智歯周囲炎になっている
智歯周囲炎は、親知らずの周囲に細菌が感染し、歯肉や骨が炎症を起こす状態です。
この炎症が腫れや痛みを引き起こし、場合によっては顔全体に影響を及ぼすこともあります。
関連記事:【意外と知らない】親知らずを放置する問題|抜歯後の注意点も解説
親知らずの抜歯で腫れを軽減させるために事前にすべきこと

体調を整えておく
抜歯は外科手術の一種であり、免疫力が低下していると術後の腫れや感染リスクが高まります。
できるだけ他の病気の時と同じように十分な睡眠や栄養バランスの良い食事を心がけ、手術当日に万全の体調で臨みましょう。
歯医者選び
親知らずの抜歯は技術の差が術後の腫れに影響します。
CTスキャンを用いた精密診断や、痛みを軽減する麻酔技術を提供している歯科医院を選ぶことが重要です。
新宿区の歯科ハミール高田88では、難抜歯にも対応可能な設備と経験を持ち、安心して治療を受けられます。
そもそも院長が難抜歯を得意としておりますのでご安心ください!
関連記事:親知らずによる症状【高田馬場|歯科ハミール高田88 赤崎 公星院長 監修】
親知らず抜歯後に腫れが出た場合の対処法

親知らず抜歯後に腫れが出た場合の対処法は以下のとおりです。
- 患部を冷やす
- 痛み止めを服用する
- 安静にする
- 抜歯箇所の反対側で食事を摂る
順番に解説します。
患部を冷やす
抜歯後 大体ではありますが48時間くらい は腫れを抑えるために冷却が効果的です。
アイスや冷たいタオルを頬に当て、15分冷やして15分休むサイクルを繰り返してください。冷やしすぎは逆効果になることがあるので注意しましょう。
痛み止めを服用する
ドクターに処方された鎮痛剤(ボルタレンなど)を服用することで痛みを軽減できます。
市販の鎮痛薬を使う場合も、用法用量を守りましょう。
安静にする
術後は激しい運動や重労働を避け、体を休めることが大切です。
血行が良くなると腫れや出血が悪化する可能性が高まります。
抜歯箇所の反対側で食事を摂る
術後の患部を刺激しないよう、柔らかい食事を取り、反対側の歯で噛むようにしてください。
関連記事:親知らず抜歯後に仕事を休む理由|復帰する際の注意点も解説
親知らず抜歯後の注意点

親知らず抜歯後の注意点は以下のとおりです。
- 激しいうがいをしない
- 飲酒・喫煙・運動・長風呂を避ける
- 患部を舌や指で触らない
- 香辛料の効いた食事は避ける
- 処方された抗生物質を飲み切る
順番に解説します。
激しいうがいをしない
抜歯後に形成される血餅(血の塊)は治癒に必要です。
激しいうがいをすると血餅が失われ、ドライソケットを引き起こす可能性があります。
飲酒・喫煙・運動・長風呂を避ける
これらの行為は血行を促進し、出血や腫れを悪化させる原因になります。術後 48〜72時間 は控えましょう。
患部を舌や指で触らない
無意識に患部を触ることは感染リスクを高めます。違和感があっても、患部を触らないよう注意してください。
香辛料の効いた食事は避ける
刺激物は術後の傷口を悪化させることがあります。薄味の食事を心がけましょう。
処方された抗生物質を飲み切る
感染を予防するために処方された抗生物質は、指示された期間きちんと服用することが重要です。
まとめ【抜歯後の腫れは約48時間から72時間がピーク!】
親知らずの腫れは通常 1週間以内 に治まることが多いですが、痛みや腫れが長引く場合は必ず歯科医師に相談してください。
歯科ハミール高田88では、親知らずの抜歯から術後のケアまで専門的にサポートします。
新宿区高田馬場駅から徒歩1分の便利な立地で、地域の皆さまにできるだけ安心・安全な治療を提供しています。
親知らずやお口のトラブルでお悩みの方は、ホスピタリティーを持って対応します。お気軽にご相談ください。
お問い合わせ
歯科ハミール高田88(高田馬場 歯科 新宿区 歯医者 東京都 歯科医院)
住所: 東京都新宿区高田馬場1−27−6 KIビル4F 高田馬場駅から徒歩1分 BIGBOX前
電話: 03-6709-6866
ホームページ: https://hamille-takada88.com/cms/
当院、医療法人歯科ハミールの分院も、今後共よろしくお願いいたします。
- 医療法人歯科ハミール:https://hamille-dental.com/
- 歯科ハミール本院:https://hamille-dental.com/hamille
- 歯科ドクターHa:https://hamille-dental.com/doctorha
- ハミール東京デンタルオフィス:https://hamille-dental.com/tokyo
- デンタルオフィス虎ノ門:https://hamille-dental.com/toranomon
- ハミール東京デンタルオフィス小川町:https://hamille-dental.com/ogawamachi